关注我们


我科是省内最早开展小儿神经外科工作的单位之一。现小儿神经外科组年手术量百余例,疾病范围广泛,尤其是在小儿脑积水及小儿颅内肿瘤方面经验丰富;颅内肿瘤主要包括:颅咽管瘤、髓母细胞瘤、星形细胞瘤、生殖细胞瘤等。同时,我们还开展了小儿癫痫及小儿脑性瘫痪的外科治疗工作。在小儿颅脑及脊髓先天畸形方面(包括先天性蛛网膜囊肿、狭颅症、颅裂脊柱裂及脊髓栓系等),也积累了一定的临床经验。尤其在蛛网膜囊肿方面,对手术指证及手术手段方面,有着独到的心得。
病例1:
.jpg)
髓母细胞瘤术前 髓母细胞瘤术后
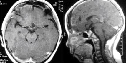
病例2:

颅咽管瘤术前

颅咽管瘤术后