关注我们


中枢神经系统肿瘤包含原发性肿瘤以及继发性肿瘤即脑转移瘤。放疗是中枢神经系统肿瘤必不可少的治疗手段之一。
1、原发良性肿瘤如果手术无法完全切除或不可切除,则需要通过放疗进一步控制以达到治疗肿瘤的目的。
2、原发恶性肿瘤即使达到手术完全切除,也必须进行后续辅助放疗±化疗,巩固疗效,降低复发,提高患者生存。
3、脑转移瘤患者在有明确疗效药物治疗的基础上联用放疗,能够更好的提高肿瘤局控,而对于无有效药物治疗的脑转移瘤患者,放疗更是明确有效的治疗手段。
4、对于复发/转移性中枢神经系统肿瘤,姑息性放疗可以在一定程度上控制肿瘤生长,延缓疾病进程,改善患者生活质量。
广东省人民医院放疗科设有专门的中枢神经系统亚专科组,在中枢神经系统肿瘤精准放疗及综合治疗方面有着丰富的临床经验,针对于恶性脑肿瘤积极开展基于磁共振影像的SIB-IMRT的放疗模式,并积极探索放疗与靶向治疗、免疫治疗相结合的最佳模式,以期更好的控制肿瘤。
亚专科组主诊医生为杜莎莎主任医师及谭佩欣主治医师,承担国家及省市级课题共9项,其中国家级4项,专注于中枢神经系统肿瘤放射敏感性及放射性神经损伤修复的基础研究及成果临床转化。
杜莎莎主任医师出诊时间:每周三上午伟伦楼一楼放疗科
谭佩欣主治医师出诊时间:每周一下午东川门诊404诊室
【典型病例】
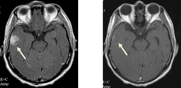
(1)

放疗前 放疗后
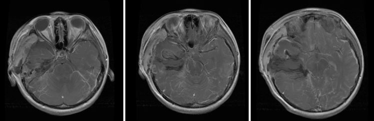
(2)

放疗前 放疗后
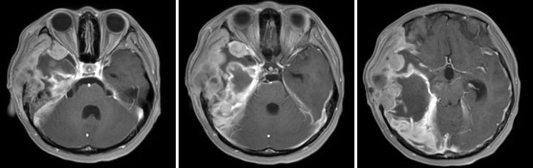
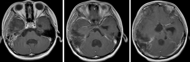
(3)

手术全切肿瘤

术后短期内(3周)迅速复发

经过放疗+药物治疗后2月余肿瘤缓解