关注我们

髋关节表面置换术

2011-01-30

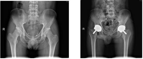
        髋关节表面置换手术目的是最大限度保留关节骨量和解剖结构的前提下重建关节的功能。与普通的全髋关节置换手术相比,表面置换手术保留更多自身骨质,完整保留了股骨颈;同时保留了关节周围完整的软组织附着,术后关节功能优良,活动能力远胜普通置换手术。这种手术尤其适合于年轻病人,有重要的社会效益。我科开展髋关节表面置换多年,积累了丰富的经验,患者术后关节功能优良,没有出现股骨颈骨折等并发症。


典型病例:男性43岁,因双侧股骨头坏死行双侧表面髋关节置换