关注我们


股骨头缺血性坏死是由于激素、酒精等原因引起的股骨头血运循环障碍,导致股骨头内骨质坏死。主要症状为髋关节疼痛,晚期出现行走困难。一直以来股骨头坏死是骨科治疗难点和研究重点,旧有的治疗方法多种多样但疗效欠佳,许多病人病情逐渐加重影响日常生活。
我院骨科是国内最早开展干细胞移植治疗股骨头坏死的单位之一。在股骨头坏死区域注入具有成骨潜能的干细胞,增加股骨头内的成骨干细胞数量,诱导新骨形成,修复股骨头坏死区。本技术属微创手术,只需一个1.5cm切口即可完成,损伤小、安全性高、并发症少、术后康复快。
开展本技术2年来已治疗患者近百例,临床症状优良率93.5%,得到来自全国各地的患者的一致好评。健康报、广州日报、新快报等媒体多次进行采访和报导。
术前 术后3月 术后6月 术后12个月
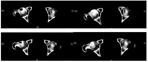
典型病例1:女性,17岁,因长期服用激素导致双侧股骨头无菌性坏死,右侧行干细胞移植和植骨术。术后1年复查股骨头内植骨愈合,股骨头无塌陷。

术前CT 术后8月CT
典型病例2:男性,26岁,特发性股骨头缺血性坏死。术前CT右侧股骨头内可见明显囊性变。术后8个月CT见囊性区消失,囊内内植骨愈合。