关注我们


我科拥有多套的国际著名的种植系统,能对单牙缺失,多牙缺失,全口牙齿缺失等进行种牙修复治疗,开展上颌窦提升术,骨挤压术,骨劈开术,骨移植技术,引导骨组织再生技术以及拔牙后马上种植的即刻种植、即刻修复技术等。还配备有瑞典生产的高压蒸汽灭菌消毒炉,保证器械的全面消毒,提高种植的成功率。
牙齿种植知识简介:
牙齿缺失了,该如何办?当然是应该尽快镶牙,镶牙有几种不同的方式,传统的有活动义齿修复、也有固定义齿修复。还有一种国内外先进的修复方式——种植义齿修复术。
种植义齿修复术也叫人工牙种植术,俗称“种牙”。种牙指将具有高度生物相容性和物理机械性能的种植体(相当于人工牙根)植入到缺牙部位的牙槽骨(即牙床)内,经过3-6个月的骨整合期,种植体与牙槽骨牢固地结合在一起,在种植体上接一颗逼真的烤瓷牙。
人工牙种植术在国内外已经广泛应用于牙齿缺失的修复,它的优点是义齿直接固定在种植体的基台上,不需要磨除相邻牙齿的牙体组织,不损伤其他牙齿,能长期固定在口腔里,不需要取下清洗,感觉如同天然牙般舒适,咀嚼效率高,外表美观,护理方便。
目前国内外应用的种植体主要为带螺纹的根形或柱形的钛金属体,表面经过适当的加工处理,使其与牙槽骨有极佳的生物相容性,同时有较强的机械性能;在种植外科技术方面,随着拔牙后即刻种植技术、自体骨移植技术、引导骨组织再生技术、上颌窦提升技术、骨挤压技术、骨劈开技术等外科技术的不断发展以及口腔全景X光和螺旋三维CT的应用,使种植术的适应症和成功率大大提高。全口牙齿缺失的患者可以使用种植覆盖义齿修复术。
种牙的时机一般在拔牙3个月后,牙槽骨基本愈合,就可以做人工牙种植术;也可以在拔牙的同时(特别是外伤的牙齿)即刻植入种植体,称之为即刻种植术;也可以在拔牙后的1-3个月内进行人工牙种植术,具体种植时机由医生分析后确定。
人工牙种植术的过程比较简单,在口腔科门诊局部麻醉下就可以完成,种植体植入时间一般不超过半小时。术前拍摄口腔全景片,测量牙槽骨的高度、宽度以及牙槽骨的密度以便设计人工牙种植术的方案;制取口腔模型、制作种植导板。种植体植入牙槽嵴3-6个月后复诊,在种植体上接上基台,在基台上进行烤瓷义齿的修复。
人工牙种植术适应症广,年龄要求18岁以上,一般能够耐受拔牙术的的患者均可进行人工牙种植术。如果患者有严重牙周病,必须先进行牙周系统治疗后才可以进行人工牙种植术,高血压患者、糖尿病患者在病情控制稳定情况下是可以种牙的。
人工种植牙修复术后,可以行使正常牙齿咀嚼功能,日常护理与天然牙齿一样,必须保持良好的卫生习惯,用牙刷或者牙线清洁义齿,尽量避免食物残渣嵌塞在牙间隙中,有条件的患者可以定期到医院复查。
种植病例:

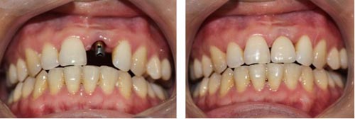
前牙人工牙种植术 前牙人工牙种植——术后
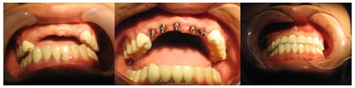
前牙缺失种植修复术(实例)

前牙缺失——种牙前 前牙缺失——种牙 前牙缺失——种牙术后
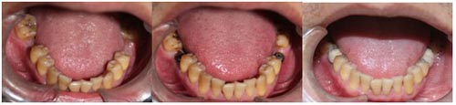
后牙缺失种植修复术(实例)

后牙缺失——种牙前 后牙缺失——种牙 后牙缺失——种牙后