关注我们

牙周病治疗

2011-01-27

        我院口腔科牙周病专科擅长各类牙龈炎,牙周炎的诊治(龈上洁治,龈下刮治,根面平整,牙合治疗,松牙固定术,牙周病的药物治疗及各种牙周手术等)及各学科的综合治疗,注重患者的口腔卫生指导和监护以及牙周维护治疗,并能根据患者的实际情况为患者制定规范化、个性化的牙周治疗方案。


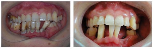
牙周病基础治疗前后对比

        牙周病专科主要负责人:丁咏,主治医师,广东省口腔医学会牙周病学专业委员会委员。