关注我们


内镜下逆行性胰胆管造影检查(ERCP)与治疗对胆、胰、肝系统的各种良、恶性疾病有较高的准确性(如不明原因的黄疸伴胆胰管扩张或狭窄患者)及较小的创伤性,适合于胆总管结石、胆道蛔虫、胆总管炎症、胆总管肿瘤、胰腺假性囊肿、胰管良恶性狭窄、原发性硬化性胆管炎等的检查与治疗。
我科在国内较早开展此项技术,并在此基础上开展了一系列微创治疗,如十二指肠乳头括约肌切开术、胆总管取石术、胆道蛔虫取虫术、鼻胆管引流术、胆胰管内镜下扩张及支架植入术等,积累了丰富经验并为近千例患者解决痛楚。同时,不仅将ERCP用于普通胆胰疾病的诊治,我们在国内首先将其用于肝移植术后各种胆道并发症如胆道狭窄、胆道出血等的诊治,最大限度地提高了术后患者并发症诊治的有效性及安全性,多次在国内外内镜会议上演示,得到国内同行的一致好评。
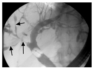
ERCP显示:多发性肝内胆管狭窄
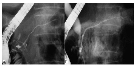
a:胰管狭窄
b:治疗后狭窄的胰管恢复正常