关注我们


内镜下逆行性胰胆管造影检查(ERCP)是在内镜下经十二指肠乳头插管注入照影剂,从而逆行显示胰胆管的造影技术,是目前公认的诊断各种胆道疾病(如胆总管结石、胆道寄生虫、硬化性胆管炎、肿瘤、先天性胆道异常)和胰腺疾病(如胰腺囊肿、慢性胰腺炎、胰腺肿瘤等)的金标准。
我科在国内较早开展ERCP,并已在此项检查基础上,开展了十二指肠乳头括约肌切开术、内镜下鼻胆管引流术、内镜下胆汁内引流术等介入治疗。ERCP不用开刀、创伤小,住院时间也大大缩短,是胆胰疾病患者的福音。

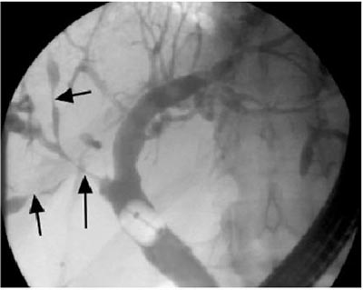
ERCP显示:多发性内胆管狭窄

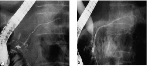
图a:胰管狭窄 图b:治疗后狭窄的胰管恢复正常