关注我们


随着我国老龄化社会的到来,越来越多的中老年朋友因饱受膝关节疾患困扰,严重影响日常活动和生活质量。这些在上下楼梯、爬山或行走距离过远后出现的膝关节疼痛、肿胀、弹响等不适症状,大多是膝关节退变导致的,医学术语称之为“膝关节骨性关节炎”。据报道,我国膝关节炎的患病率为 8.1%,全国约有 1.2 亿人患有不同程度的膝关节炎。该类疾病呈现明显的性别及地域差异,女性高于男性,西部地区高于东部地区。因此,针对膝关节骨性关节炎的预防和治疗已成为骨科当下的一个重要命题。
广东省人民医院骨关节与创伤科是新中国最早单独成立骨科专科的单位之一,也是国内最早开展膝关节骨性关节炎阶梯性预防、治疗及术后快速康复的专科单位之一。针对膝关节骨性关节炎,早期可采用进行规避危险因素和适当锻炼的基础治疗,而后可采用镇痛消炎、透明质酸或PRP局部注射疗法等药物治疗。如果疾病发展到了一定程度,针对中重度病变只能通过手术干预才能获得理想和稳定的疗效。根据病患自身特点和手术适应症,手术主要分为保膝治疗和关节置换治疗。
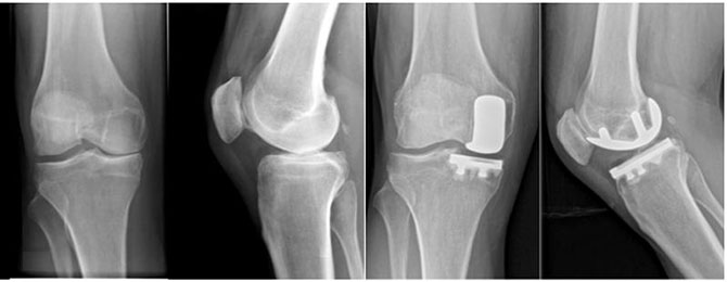
胫骨高位截骨手术,适用于因外伤或原发疾病导致膝关节单纯内侧磨损及下肢力线显著异常的患者。手术在完全不移除病人原有的膝关节软骨及骨骼基础上,以纠正膝关节生物力学轴线,来减轻内侧骨髁的受力。具有:校正下肢畸形、术后功能快速恢复、延后膝关节置换时机、改善下肢压力分布等临床优势。

单髁关节置换术,适用于膝关节单纯内侧或单纯外侧间室磨损及下肢力线轻度异常的患者。手术仅针对患侧单间室软骨及软骨下骨进行清理和置换,以改善关节功能,纠正膝关节生物力学轴线,减缓关节进一步退变。具有:手术创伤小、术后康复快、术后功能佳、延后全膝关节置换时机等临床优势。

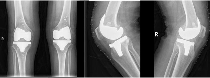
全膝关节置换及膝关节翻修置换术,适用于病变累及膝关节多个间室,或者是同时合并韧带软组织损伤的情况。手术能够针对病变膝关节进行彻底清除病变,明显改善患者多年疾病困扰。具有稳定畸形关节、缓解关节疼痛、纠正严重畸形、提高生活质量等临床优势。

目前,我科已针对不同阶段的膝关节骨性关节炎患者制定相应的诊疗规范和阶梯性治疗策略。科室每年开展膝关节运动康复到关节置换手术近500余台,旨在为更多饱受膝关节疾病困扰的病患解除病痛。望各位患者能够在膝关节疾病各个阶段均能够获得符合自身特点的个性化治疗,尽早实现满意的关节康复。