关注我们


股骨头坏死是多种病因导致人体股骨头血液供应障碍,使股骨头组织里的骨细胞、骨组织发生坏死的病变,以髋关节疼痛和跛行为主要特征,股骨头坏死任其发展,最终会失去行动和劳动能力。在我国,股骨头坏死的患者大约有500~750万人。由于病因多样,病理机制复杂,其治疗一直都是骨科领域研究的热点和难点。
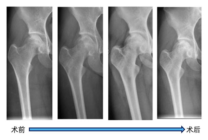
关节骨病与创伤科郑秋坚教授团队自2009年起开始对股骨头坏死的保髋治疗进行了大量研究,先后提出髓芯减压联合打压植骨,髓芯减压、打压植骨结合骨髓浓集物、髓芯减压、打压植骨、骨髓浓集物结合生物陶瓷棒的治疗方法,取得了满意的疗效,研究成果多次发表在国际干细胞转化应用研究的专业杂志《Stem Cell Research & Therapy》。


该方法采用微创技术,通过患者大腿外侧的一个1.5厘米长的切口,先将股骨头里面的坏死骨清除,把事先制备好的骨髓浓集物包被在作为载体的自体骨或生物陶瓷上,植入骨坏死区,直达股骨头软骨下,让这些骨髓中富含的间充质干细胞和生长因子在骨内微环境调节下分化为成骨细胞,起到修复骨坏死、重建股骨头结构的作用。



郑教授团队还发现年龄、病变分期与骨髓浓集物是影响保髋效果的因素,其中股骨头是否塌陷是影响疗效的独立危险因素。因此,股骨头缺血坏死的早期诊断、早期治疗非常重要,如果有长期饮酒、服用激素或髋部外病史,近期又有髋部疼痛不适的朋友请尽快到医院诊治,避免因为治疗延误造成病情进展而错过了保留自身髋关节的时机。