关注我们


桡骨远端骨折为临床门诊诊疗最多的骨折,各年龄段均有,而老年骨质疏松的患者占75%以上。闭合性的桡骨远端骨折,无论简单骨折还是粉碎性骨折,我科均首选手法复位夹板外固定治疗。我科针对该型骨折做了大量的临床研究,从复位的技巧、外固定夹板和压力垫的升级、愈合后的康复训练全系列获得了三个广东省省中医药局科研立项并发表了核心期刊论文。
桡骨远端骨折的复位固定愈合后,即使未能达到解剖对位,通过后期的功能训练,绝大部分患者的腕关节和前臂活动度也可接近正常范围。青少年患者,还可后期的自我塑型,老年患者不需要大强度的劳动,对复位愈合后的对位对线要求可以放宽一些。只有极少数患者因为移位程度严重,正骨手法复位达不到功能复位标准,同时患者本人对骨折对位要求高,才建议手术治疗。
儿童桡骨远端骨折(伸直型)

复位前 复位后
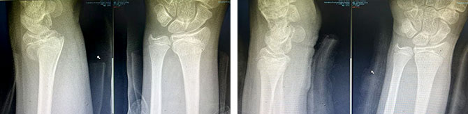
成人桡骨远端骨折(伸直型)

复位前 复位后
成人桡骨远端骨折(屈曲型)

复位前 复位后
中医正骨科 陈民主任医师