关注我们


青少年前臂双骨折是临床最常见的儿童骨折之一,可由直接暴力外伤打击或跌倒间接传导力造成桡尺骨双骨折。由于儿童骨折愈合快,塑型能力强, 我科治疗该骨折主张手法复位前臂双夹板外固定治疗。
长期的临床实践,我们具备了丰富的临床经验,运用熟练的正骨手法将骨折一次复位到接近解剖对位,然后根据患者的前臂大小,精心设计制作夹板、压力垫、分骨垫,进行有效的外固定,同时避免前臂骨折的并发症。每周复查换药调整松紧度,一般4周骨折达临床愈合后,即可解除外固定,恢复患肢的正常活动。
患者1:女,8岁,右侧桡尺骨双骨折,复位前后对比

复位前 复位后
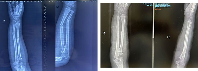
患者2:男,6岁,右侧桡尺骨双骨折,复位前后对比

复位前 复位后
中医正骨科 陈民主任医师