关注我们


前段时间,一位八旬阿婆不幸患上肾癌,其肿瘤不仅巨大无比,还沿着血管入侵到人体中最大的静脉干,形成比肿瘤更可怕的癌栓,下腔静脉癌栓就是一枚定时“炸弹”,一旦脱落,患者随时会有生命危险,面对这样一宗高难度的病例,来自省医的医生们是如何救死扶伤的呢?
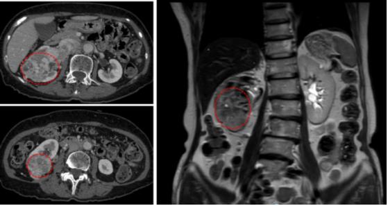
84岁的香港籍关阿婆因“右腹部疼痛加重并发现右肾占性病变位1月余”慕名来我院泌尿外科刘久敏主任医师门诊就诊。刘主任接诊后经过详细的检查,诊断患者为:右肾癌(T3N0M0)伴腔静脉癌栓(Mayo Clinic III级)。患者的肿瘤影像学结果提示:肿瘤约70*59*71mm,且瘤体已经侵犯右侧肾周脂肪、肾盂、右肾静脉并生长进入下腔静脉。更为复杂的是,通过CT和MR重建动静脉血管影像发现瘤体血供异常丰富,瘤体内分布粗大肿瘤血管;癌栓范围较大并且局部可疑侵犯下腔静脉血管壁。
肾脏恶性肿瘤伴腔静脉癌栓,是泌尿外科风险系数最高手术之一。结合该患者自身情况,本次治疗有两大难点:1.肾肿瘤巨大,浸润范围广,手术切除术中出血量较多。考虑到患者84岁的年龄并伴有左室舒张功能减退、主动脉瓣反流等心血管基础疾病,这对外科、麻醉科医生以及护理团队都是一场考验。2.患者的下腔静脉癌栓是一枚定时炸弹,稍有不慎便有癌栓脱落导致患者肺栓塞、猝死的可能。
总而言之,本次手术的风险和难度极高。

(患者影像学检查结果)

(3D重建显示肿瘤与周围器官的关系)

(肿瘤、癌栓与肾静脉的关系)
刘久敏主任团队考虑到该患者病情的复杂性,在为患者完善各项术前检查、评估身体状况,同时多次组织科室内部讨论以及院内多学科间会诊,反复论证最适合该患者的治疗方案。讨论专家结合自身临床经验及国内外最新诊疗指南分析认为:肾癌伴腔静脉癌栓的患者保守治疗预后很差,中位生存时间仅为5个月;而肾癌根治联合下腔静脉癌栓切除术并辅助靶向药物治疗,5年生存率可达到60%。手术治疗是此类患者最有效的治疗方式。然而,结合患者年龄、身体状况、以及肿瘤的分级程度,本次手术可谓是刀尖上的舞蹈。刘主任和肝胆外科、胸科的专家根据患者的癌栓情况讨论后共同认为:术中有翻开肝脏、甚至打开膈肌胸腔取癌栓的可能,并做好术中相关科室协助的准备措施;麻醉科与心内科专家经过多次术前评估,为患者制定了周密的围手术期准备和麻醉方案。经过详细的沟通后,患者及家属了解情况,并表达了强烈治疗意愿和对医生技术水平充分的信任。最终双方一致决定选择手术治疗!
为最大程度的降低癌栓术中脱落的风险并根据患者身体状况,刘久敏主任团队决定为患者实施开放性“右肾癌根治性切除+下腔静脉瘤栓切除术”。手术于2021年12月15日如期进行,在前期的充分准备下,手术在紧张有序的节奏中开始了。术中可见腹腔及肾脏周围粘连、水肿比较重,增加了手术难度。探查右肾肿瘤直径约70mm,肾静脉内癌栓占据了整个肾静脉腔,延伸至下腔静脉内约肝尾状叶水平,与术前评估相吻合。在刘久敏主任精湛、仔细的手术操作以及手术室、麻醉科和输血科的默契配帮助下,手术进展顺利、衔接紧密、各种术中应对措施进行的有条不紊,最经过3个小时的手术鏖战,终完整的切除了患肾肿瘤和下腔静脉癌栓。术后患者生命体征平稳,恢复情况良好。患者手术后进入ICU病房监护2天,期间曾出现一过性血压降低以及血氧浓度下降,经ICU及心血管内科医生及时处理后症状缓解;第3天转泌尿外科病房;术后12天康复出院。
刘久敏主任介绍:肾细胞癌是常见的泌尿系统恶性肿瘤,占成人恶性肿瘤的2%~3%,早期肾癌多无临床症状,晚期肾癌可出现血尿、腰痛、腹部肿块“肾癌三联征”,但近些年无症状肾癌的发病率逐年升高。有4%~10%的肾癌患者会形成下腔静脉癌栓,癌栓是指癌细胞从原发灶脱落,侵入脉管,与脉管内的异种细胞结合,形成的微小转移灶。癌栓是恶性肿瘤转移关键的起始阶段。手术切除是肾癌伴下腔静脉癌栓患者的首选治疗手段。目前,肾癌的病因尚不明确,与遗传、吸烟、肥胖、高血压及抗高血压药物等有关。吸烟和肥胖是目前公认的肾癌危险因素,因此减少吸烟及控制体重是预防肾癌发生的重要措施。迄今为止,尚未发现与肾癌具有明确关系的致癌物质。因此增加锻炼、减少吸烟以及控制体重可以作为降低肾癌风险的主要预防措施。
资料延伸
广东省人民医院泌尿外科成立于1947年,至今已经有六十多年历史,是国内最早建立的泌尿专科之一,目前已设置:泌尿外科肿瘤学组、微创泌尿外科学组、结石学组、前列腺学组、男科学组、尿控及整形修复学组、小儿泌尿外科学组、肾移植学组等亚专科。本次手术成功案例是省医泌外精湛诊疗水平的展现。与此同时,省医泌尿外科在腹腔镜下腹膜后巨大肿瘤切除、腹腔镜膀胱癌根治术、腹腔镜前列腺癌根治术、腹腔镜保留肾单位手术、腹腔镜后腹膜及盆腔淋巴结清扫等高难度手术技术已达到国内先进水平,达芬奇机器人手术及各种内腔镜手术的数量、质量及覆盖的病种数在全省名列前茅,手术的难度也居领先地位。不仅如此,省医泌尿外科还长期处理大量来自国内及港澳台地区的高风险、复杂、危重病人。除了自身过硬的专业技能外,省医泌尿外科还有诸多在国内排名一流的心脑血管、呼吸、普外等兄弟科室,可以发挥多学科联合的优势解决疑难病例。在新的一年里,由刘久敏主任带领的省医泌尿外科将继续为患者的健康保驾护航!
来源:直播广东