关注我们


小陈因右耳耳鸣,听力下降2个多月求诊于我院耳鼻咽喉科邱前辉主任。通过仔细检查,发现小陈没有舌头及面部麻木、头痛、右侧中耳积液等问题,也无鼻炎和鼻咽癌肿瘤。
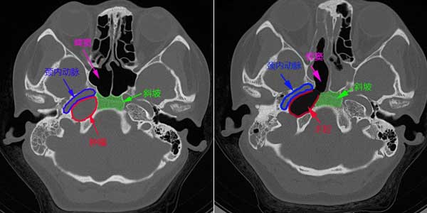
为了查清病因,邱主任给患者安排了头部CT检查,结果发现小陈右侧颅底的岩骨部有一大小为22.3mm×19.7mm类圆形影,该占位性病变位于颈内动脉的后外方,并且其与颈内动脉之间已无骨质间隔。影像科医生诊断为胆固醇肉芽肿。
该病变比较少见,虽说为良性,但如不治疗,严重将引起听力丧失,面瘫或压迫脑而引起头痛等症状。
传统的治疗方法包括开颅或从耳部切开进行,此两种方法损伤大,开颅还可能引起脑脊液漏和颅内感染,而经耳手术,听力将完全丧失。如何减少患者损伤和可能的并发症,同时又微创地切除病灶的问题摆在了邱前辉主任面前。
颅底区域狭小,解剖复杂,特别是颈内动脉弯曲行走,如损伤后将会导致50%患者死亡,近50% 患者全身偏瘫,这决定了颅底手术的高难度和高风险。虽然邱前辉主任擅长鼻内镜颅底微创手术,其颅底手术的难度和病例数都在省内领先。但由于该病变位于颈内动脉的后外方,因此鼻内镜下切除该肿瘤的最大难题是如何绕开这个“拦路虎”。邱主任通过仔细分析和研究,决定充分利用人体如鼻腔、鼻窦的自然通道,采用鼻内镜下通过鼻腔、蝶窦,磨除蝶窦后面的部分斜坡骨质的手术路径,绕至颈内动脉后下方切除病灶。

术前影像学 术后影像学
手术用时2小时,患者仅出血300毫升,手术顺利完成,术中术后患者无任何并发症。术后无外部切口,康复良好出院。
通过文献检索,国内外尚无鼻内镜下经蝶窦斜坡进路的报道,此为首例。而该手术方式术式较其它方式具有微创、可监控又不骚动颈内动脉的优点,为颈内动脉后方外的岩骨部病变微创手术切除,提供了一种崭新的、更为安全的手术进路。
近年鼻内镜手术技术发展较快,从常规的鼻息肉、鼻窦炎微创手术已逐步扩展至颅底肿瘤,如脑脊液漏修补术、视神经减压术、颅底良恶性肿瘤微创切除包括鼻咽癌原位复发、鼻咽纤维血管瘤等,目前我院耳鼻咽喉科以邱主任为首的鼻内镜颅底手术量及手术技术难度已处于国内领先水平并得到同行认可。
文_耳鼻喉科