关注我们
首页 > 新闻中心 > 医技前沿

骨科成功开创椎板间入路椎间孔镜下腰椎间盘髓核摘除手术

点击数: 发布时间:2012-12-24

        年初,骨科成功开展椎间孔入路椎间孔镜治疗腰椎间盘突出症的微创手术,以其创伤小、疗效好、手术安全、恢复快得到了广大患者的好评和欢迎。日前,骨科又在年初手术的基础上,改变手术入路,用椎板间入路椎间孔镜的方式,成功为一名来自东莞的腰椎间盘突出患者完成手术治疗。据悉,此次手术是广东省内首例采用椎板间入路的椎间孔镜手术。手术效果非常令人满意:术后返回病房患者下肢疼痛不适的症状已经完全消失,术后第二天,可以能佩戴腰围下地行走,术后第三天患者已顺利出院。

        来自东莞的叶先生,是一位货车司机。由于工作原因,累积下了腰椎盘突出的毛病,常年腰酸背痛。今年以来,症状加剧,不仅发作时腰痛难忍,甚至连下半身腿脚也开始疼痛起来,生计受到影响,生活也极为不便,因此,来到我院骨科就诊。


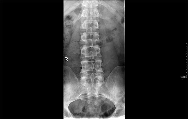
X光片显示叶先生的髂嵴高,腰5横突过长

  在叶先生的腰椎核磁共振及X光片上发现,患者的腰椎间盘突出节段是在第五腰椎和骶椎间的椎间盘(即腰5骶1处)。但由于患者的第五腰椎横突较长,如采用椎间孔入路椎间孔镜的手术方式,会给穿刺和手术过程带来困难,也会增加患者的痛苦。医生介绍,就像一个打钻机,在打墙时遇到了坚硬的阻碍物,钻头便无从下手。既要保证手术的质量,又不增加患者的创伤和痛苦,主诊的肖丹副主任医师给出了解决难题的办法:改变入路口,采用椎板间入路椎间孔镜下髓核摘除的手术方式,以避开椎间孔入路带来的困难,又能保持微创的特点。
  
        术中,肖丹按照预定手术方案,在患者腰5骶1椎板间隙标记部位做了仅为0.8cm的手术皮肤切口,椎间孔镜穿刺到达椎管,显露了被突出椎间盘压迫的神经结构和突出的椎间盘。确保工作套管保护好神经结构后,安全切除了突出的腰椎间盘髓核组织。此时再检查神经根,神经根已经完全不再受压,手术成功!而且整个手术过程几乎无出血,手术过程和手术下的组织结构清晰,安全可靠。术后返回病房,叶先生就高兴地告诉肖主任下肢疼痛不适的症状已经完全消失。术后第二天,叶先生已经能佩戴腰围下地行走,核磁共振检查显示,腰5骶1的椎间盘突出不见了!术后第三天患者顺利出院。


椎间孔入路椎间孔镜手术示意图


椎板间入路椎间孔镜手术示意图(本例术式)

        肖丹主任介绍,椎板间入路的椎间孔镜手术最早是由德国的Ruetten教授于2005年发展起来,近一两年由北京、成都的少数医生引入我国并开展。由于技术复杂,学习难度高,目前国内能够熟练掌握和开展该项技术的医院和医生并不多。此次手术,为省内首例成功采用椎板间入路的椎间孔镜下腰椎间盘髓核摘除手术。迄今为止,肖丹主任已经开展了十几例的椎板间入路椎间孔镜手术,而且将手术的节段扩展到了腰4腰5节段,均取得了良好的手术效果。

文_张丹娜 肖丹