关注我们
首页 > 新闻中心 > 医技前沿

耳鼻咽喉科妙摘巨大鼻咽纤维血管瘤

点击数: 发布时间:2012-12-25

  近日,我院耳鼻咽喉科的鼻专科和头颈专科联手合作,切除一例罕见的巨大鼻咽纤维血管瘤,困扰患者多年的、隐藏在颅底的“定时炸弹”被完整切除,术后患者安全、康复。

  14岁的小朱生长在农村,一年前开始,小朱经常出现流鼻血,2个月后左侧脸部及眼睛逐渐突出,似“金鱼眼”,出血也越来越多和频繁。经当地乡下医生反复多次中草药治疗,鼻出血和颜面部畸形等症状不但没有缓解,而且日渐加剧。

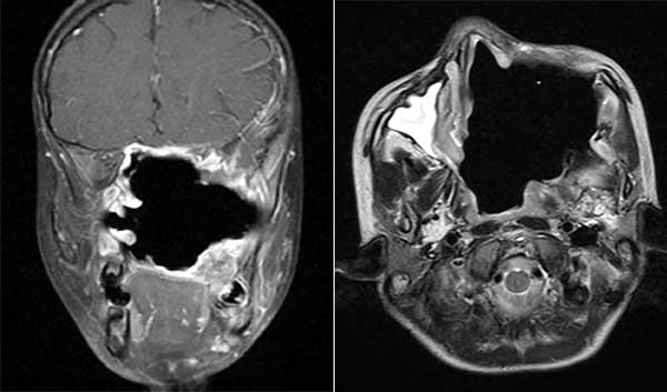
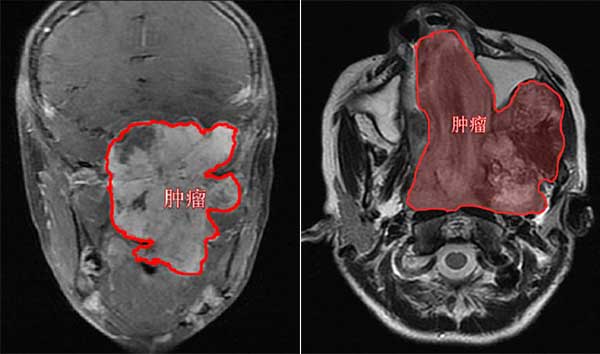
  经当地医院推荐,小朱在父母的陪同下,慕名来到了我院,并找到耳鼻咽喉科邱前辉主任就诊。邱主任详细了解病情,有丰富临床经验的邱主任作出了判断:这是一例罕见的、巨大的鼻咽纤维血管瘤。检查结果显示,肿瘤如成年男性拳头一般大小,位于鼻腔、鼻咽和鼻窦,并侵入颅内和眶内(见下图)。由于与重要的器官(视神经、颈内动脉、脑干)毗邻,病情已不容耽搁,需尽快手术治疗。


术前影像(MR轴位)


术后影像(MR轴位)

  邱主任介绍,鼻咽纤维血管瘤为鼻咽部常见的良性肿瘤,由于发病受雄性激素的影响,多见于10~25岁男性青年。手术切除是唯一根治手段,但由于血管瘤富含纤维和无收缩能力的血管,这种血管受损后极易发生危及生命的大出血。手术过程容易出血凶猛,严重时可高达5000ml,相当于丢失全身血液1次,加上术野不清,因此手术的难度非常大。

  经过全科讨论和反复推敲,由鼻专科邱前辉医师和头颈专科陈良嗣医师组成的手术团队,采用“改良Weber-Fergusson切口和颌下切口联合入路”,通过内镜辅助,历经3个小时,顺利完整切除重达半斤的肿瘤。术后小朱康复良好,容貌也复原了。

  邱主任说,鼻咽纤维血管瘤虽为良性,但具有侵袭性,且并发症多,临床表现险恶。常起始于鼻咽顶后侧壁,通过裂孔浸入鼻腔、鼻窦、眼眶、翼腭窝及颅底,向周围发展可产生压迫堵塞、破坏症状。因此,早期诊断,早期治疗,较为关键。

耳鼻咽喉科_供稿