关注我们


4月18日,在肝胆外科手术直播周,肝胆外科、介入科联合手于杂交手术室完成了一例吲哚菁绿荧光显影(ICG)染色S7/8段解剖性肝切除直播手术,这是首例在直播下完成的介入杂交腹腔镜解剖性肝切除手术,手术成功,患者体内已无肿瘤残余,身体状况良好。
肿瘤大,介入+外科手术精准切除
患者为26岁男性,体检发现肝肿物5天入院,既往有乙肝病史、高血压病史2年。检验结果多项异常,提示肝功能Child A级;腹部彩超发现肝右叶实质性肿块,大小约8.7×7.0cm,可能是肝癌;CT影像显示肝S7/8见团块样低密度灶,大小约81mm×67mm,考虑肝细胞癌。

因患者肿瘤较大,需进行精准肝切除,以最大程度保留剩余肝脏。多学科联合会诊,制订介入+外科手术方案:由介入科进行介入肝血管造影明确肝内瘤灶血运情况,并留置导管,再由肝胆外科进行吲哚菁绿荧光显影(ICG)引导腹腔镜肝S7/8切除术。
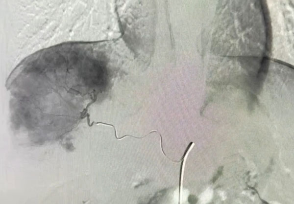
经周全的术前准备。手术于4月18日在杂交手术室实施。首先介入下行肿瘤供应血管置管(A7、A8)。介入手术由苟庆医生主刀,介入下找到肿瘤供应血管,并置管用作手术中造影。

紧接着的是腹腔镜下ICG引导肝部分切除术(S7、S8段切除)。肝胆外科林叶教授、黄凯军医生团队进行腹腔镜下ICG引导肝部分切除术,术中视野见所需切除的肝段完全染色,利用肿瘤的染色,精准的进行肝部分切除术。

肝S7、S8肝段完全染色

直播专家现场点评
因为肝脏S7/8段位于肝脏后上方,腹腔镜手术操作的难度较其他部位肝切除要大很多。所以腹腔镜肝S7/8切除术一直是腹腔镜肝切除手术的难点。同时,由于肝段之间的解剖学定位不清晰,如何精准的定位及切除肝S7/8段也是手术的难点和热点。鉴于此,省医肝胆外科借助杂交手术室的优势,使用术前介入定位肿瘤的部位及肝S7/8段血管,实现了更精准的肝切除。恰逢肝胆外科手术直播周,肝胆外科、介入科手术团队首次在手术直播、专家点评下完成该手术,手术顺利。
科普:走进杂交手术室
“杂交手术室”是近几年兴起的前沿技术,可以同时行外科手术、介入手术和影像检查,适用于各种高危疾病的内外科联合治疗。杂交手术不仅能将内、外科治疗的优点结合起来,而且还降低了二者各自的不利因素。病人不需要在手术室之间转移,也不需要多次麻醉,患者手术精准程度、术后呼吸机使用时间、心律失常发生率以及术后并发症明显降低。此外,杂交手术室净化程度是普通手术室的20倍,洁净的环境可使患者在手术时组织受到尽可能少的损伤,大大减低了感染率。
专家简介

林叶 广东省人民医院肝胆外科主任医师,医学博士,德国圣约瑟夫纪念医院访问学者
技术擅长:擅长肝胆胰腺肿瘤、胆石症、肝硬化、门脉高压疾病的诊断与手术治疗。
出诊时间:每周四下午

黄凯军 广东省人民医院 肝胆外科主治医师,医学博士,中山大学中山医学院临床医学本硕博连读(八年制)
技术擅长:擅长肝胆良恶性肿瘤、胆囊结石、胆囊息肉、胆管结石的微创治疗
出诊时间:每周一、周五下午
黄凯军