关注我们


近日,广东省人民医院甲状腺疝外科成功为一位88岁高龄老太太实施了胸骨后甲状腺肿切除术。术前被巨大胸骨后甲状腺肿压得呼吸困难,生命垂危的她,现在感觉轻松了许多。手术主刀为甲状腺疝外科黄毅捷副主任医师。
此前,因巨大胸骨后甲状腺肿压迫气管导致气道狭窄,患者出现呼吸困难等危急症状。患者曾就诊于当地医院,但由于合并慢性心衰、高血压等疾病,使得围手术期风险极高,因此被建议转至上级医院寻求更专业的治疗。
患者闻名至我院就诊后,收入我院东病区ICU接受治疗,诊断为: 胸骨后甲状腺肿、气道狭窄、慢性心衰(急性加重)、高血压、房颤、心脏瓣膜病、慢性肾功能不全、慢性肺炎、左侧下肢深静脉血栓,永久心脏起搏器植入术后、腹股沟疝修补术后。面对这一复杂病例,东病区ICU迅速组织相关科室会诊,甲状腺疝外科黄毅捷主任提出:患者手术指征明确,但患者高龄且合并多种全身性疾病,手术风险极高。黄毅捷主任随即向甲状腺疝外科主任吴泽宇主任汇报这一病例。这是一例极具挑战性的高风险手术,吴泽宇主任迅速召集全科讨论,精心制定详尽的手术方案以及围术期诊疗计划,全力以赴确保患者安全。

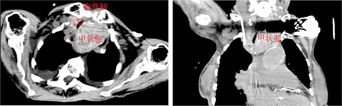
10月31日,在麻醉科于东男主任的密切配合下,在吴泽宇主任的指导下,黄毅捷主任带领手术团队为患者在全麻下行胸骨后甲状腺肿切除术。术中探查发现,甲状腺肿累及胸骨后方,至主动脉弓层面,手术难度大。在外科医生的精湛技术和团队的保驾护航下,仅1小时,便完整切除了一个9.5x5.5x5cm的巨大胸骨后甲状腺肿,术中出血极少,喉返神经和甲状旁腺均得到了完好保留。

术后,在吴泽宇主任与黎昱昱护士长的带领下,护理团队运用加速康复外科理念,为患者提供精心护理。患者恢复良好,术后第3天便顺利康复出院。

此例胸骨后甲状腺肿合并多发病的高龄患者顺利接受手术并康复出院,彰显了我院多学科联合诊治的丰富临床经验和先进技术水平,也是甲状腺疝外科精湛诊治能力的强有力证明。
雷天翔