关注我们


近日,广东省人民医院心脏大血管外科李欣和杨珏医生,在科室范瑞新主任和孙图成主任的指导下,一周内成功完成了三例复杂主动脉疾病患者的微创治疗,标志着我院主动脉疾病外科治疗正式进入了“微创时代”。微创技术的发展是科室长年不断创新和临床积淀的结果,为许多害怕传统大创伤手术的患者带来了新的希望。
病例一:小切口成功救治主动脉瓣关闭不全合并主动脉窦动脉瘤患者
第一例患者为一名60岁男性,因活动后经常出现头晕、胸闷,前来我院就诊。经检查确诊为重度主动脉瓣关闭不全合并主动脉窦动脉瘤。正常人的胸主动脉直径在4cm以下,而该患者动脉瘤最大直径达7cm,随时可能发生动脉瘤破裂威胁生命。由于对传统开胸手术的巨大创伤感到恐惧,患者多次就医未能接受手术治疗。最终,他选择来到我院接受李欣医生的治疗。

术前主动脉CTA
在充分的术前准备后,李欣和杨珏医生采用微创手术技术,仅通过胸骨上段5.5cm的小切口,为患者成功实施了包括主动脉瓣机械瓣膜置换术、主动脉根部置换术及冠状动脉开口重建术在内的Bentall手术。手术过程顺利,术后患者恢复迅速。仅3小时后便拔除气管插管,术后24小时引流量100ml,术后第1天顺利转入普通病房,4天后即可出院。与传统Bentall手术平均8天住院时间相比,患者的恢复时间明显缩短,且胸前的手术瘢痕长度仅为传统手术的四分之一。

微创切口 传统手术切口
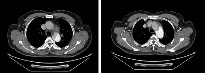
案例二:急性逆撕性A型主动脉夹层的微创治疗
第二例患者为58岁男性,他“突发胸腹痛”,到外院就诊被诊断为急性逆撕性A型主动脉夹层,随时可能发生主动脉破裂引致生命危险。传统治疗方案建议进行升主动脉置换和全主动脉弓置换手术,但由于该手术需要正中开胸、体外循环以及心脏停跳,患者无法接受,最终放弃了治疗。
患者转诊至我院后,李欣医生根据患者的具体病情,精心设计了微创治疗方案。李欣和杨珏医生通过仅5cm的胸骨上段小切口,在非体外循环下成功为患者实施了升主动脉至双侧颈动脉、左锁骨下动脉旁路移植术和胸主动脉夹层腔内隔绝术。术中主动脉造影确认主动脉夹层破口已完美封堵,术后患者恢复良好,第7天顺利出院。微创技术不仅成功挽救了患者生命,还避免了传统手术带来的巨大创伤。

术前CT

患者术中手术切口

患者术中主动脉造影图像
病例三:不开胸治疗高龄升主动脉假性动脉瘤患者
第三例患者为76岁男性,患有“主动脉瓣关闭不全和主动脉窦动脉瘤”,曾接受过复杂的主动脉瓣生物瓣置换术和主动脉根部置换术。近期复查发现升主动脉远段存在假性动脉瘤,随时可能破裂。按照传统治疗方案,患者需要接受再次正中开胸,在体外循环心脏停跳下行升主动脉置换+全主动脉弓置换。
考虑到患者高龄,接受该类手术的风险极高。李欣和杨珏医生在详细分析患者病情和主动脉解剖特点后,决定为患者植入由心脏大血管外科参与研发的A型主动脉综合征全腔内重建系统。该系统可以微创治疗A型主动脉夹层、升主动脉假性动脉瘤和升主动脉溃疡等多种主动脉疾病。
经过充分的术前准备工作和严谨的临床试验入组工作后,李欣和杨珏医生仅通过颈部两处4cm长的微创切口,利用A型主动脉综合征全腔内重建系统,在非开胸非体外循环下成功为患者实施了左锁骨下动脉到右颈动脉旁路移植术和胸主动脉夹层腔内隔绝术。手术过程顺利,患者术后当晚拔除气管插管,术后第1天便顺利转回普通病房,术后第3天顺利出院。此项微创技术不仅为患者提供了安全有效的治疗,还减少了传统手术的创伤,显著缩短了恢复时间。

术前(左侧)和术后(右侧)CT
心脏大血管外科治疗进入“微创时代”
在过去的二十年里,广东省人民医院心脏大血管外科不断创新,致力于为患者提供更先进、更安全的治疗方案,特别是在复杂主动脉疾病的治疗领域。科室经历了从传统开胸手术到微创手术的逐步转变,取得了显著进展。早期,复杂主动脉疾病的治疗主要依赖传统的正中开胸手术。尽管这种手术方式能有效治疗病变,但创伤大、恢复时间长、术后并发症较多,给患者带来了很大负担。
随着微创技术的发展,心脏大血管外科认识到,减少创伤、缩短恢复期、降低并发症的发生,是提高患者生活质量的关键。基于这一目标,科室开始积极探索微创治疗手段。经过多年技术积累和临床经验的积淀,科室在复杂主动脉疾病的微创手术领域取得了显著成效。
科室根据主动脉不同区域的病变特点,为患者量身定制个体化的治疗方案,实现了更精准、更安全的治疗。
病例一是位主动脉根部病变患者。目前的技术尚无法实现不开胸非体外循环下的治疗,科室手术团队采用胸骨上段小切口完成手术,手术切口仅为传统开胸手术的四分之一,从而最大限度地减少患者的创伤。对于病例二的主动脉弓部和降主动脉病变患者,科室采用“杂交手术”技术,利用胸骨上段小切口进行非体外循环手术,并与血管腔内介入手术相结合。此技术不仅避免了心脏停跳和体外循环带来的风险,还明显减少了胸部的切口长度,显著降低了术后并发症,缩短了恢复时间。病例三的患者是升主动脉病变,科室采用全球最先进的A型主动脉夹层全腔内重建系统,以不开胸、非体外循环的方式完成复杂的升主动脉疾病治疗。这一创新技术使得患者能够在最小创伤下完成治疗,显著提升了治疗效果和术后恢复速度。
厚积薄发,创新技术造福患者
近年,广东省人民医院心脏大血管外科在范瑞新主任和孙图成主任的带领下,长期致力于主动脉疾病的临床研究和技术创新。自2003年国内首批提出并实施主动脉夹层“杂交手术”以来,科室在主动脉疾病领域取得了一系列重要突破:2009年,首次在广东省开展妊娠合并主动脉夹层治疗;2013年,国内首批建立主动脉夹层协作诊疗网络,主动脉夹层和主动脉瘤治疗成功率达到国际领先水平;2019年,成功完成胸腹主动脉瘤置换手术超过20例/年,成为国内少数能够常规开展该类手术的医疗中心;2022年,创新设计A型主动脉夹层全腔内重建系统,并成功完成全球首例临床应用,开启了A型主动脉夹层全腔内治疗时代;2023年,成功为6岁儿童实施全国最小年龄胸腹主动脉置换手术。
另外,广东省人民医院心脏大血管外科于2022年获广东省政府质量奖,为该类奖项唯一的医疗机构。目前,科室已成为国内少数能够为所有类型主动脉疾病患者提供外科开放手术、微创手术、杂交手术和全腔内治疗等全套方案的综合诊疗中心。
杨珏