关注我们


近日,广东省人民医院呼吸与危重症医学科在主任医师李静教授的带领下,为一名合并多种基础疾病的68岁晚期肺癌患者完成经支气管冷冻消融术,安全、精准地为患者消融病灶。
晚期肺癌合并多种基础疾病,如何克服重重困难
68岁的何叔(化名)患有左肺下叶腺癌(IVa期)、慢性阻塞性肺疾病GOLD4级E组、肺大泡、高血压、心功能不全等多种疾病,经4周期“顺铂+培美曲塞+特瑞普利单抗”联合治疗后,左上肺原发一度控制缩小,但何叔不愿意继续抗肿瘤化疗及免疫治疗。
停止抗肿瘤治疗3月后复查,何叔的CT发现左上肺新出现转移灶,需要及时处理。然而,患多种疾病的何叔心肺功能较差,外科手术或经皮消融术风险极高。
经胸外科、介入科、放射科等多学科讨论,考虑到要为何叔精准清除残留病灶,同时最大限度保护肺功能、减少并发症,团队、病人及家属最终一致选择经支气管冷冻消融术。

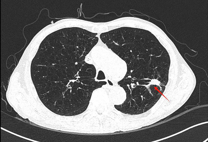
患者术前CT
精准导航直击肿瘤,安全微创消除病灶
考虑到何叔的高危情况,手术由呼吸与危重症医学科李静教授带领团队基于精准导航、适形消融和安全微创的原则制定手术方案,联合影像科、麻醉科,在医院杂交手术室协作开展手术:
精准导航。术前通过虚拟支气管导航规划路径,术中结合细支气管镜推进与移动CT实时引导,确保1.9mm冷冻消融针精准抵达肿瘤内部。

术前根据CT路径规划
适形消融。在同一支气道分两个位点分别实施“10分钟冷冻+3分钟复温”双循环(最低-156℃),术后CT验证消融效果,治疗区域完全覆盖原有病灶范围。

冷冻前后CT对比
安全微创。考虑到何叔病灶周围多个肺大疱且邻近血管,如果实施经皮肺穿刺消融,极易并发气胸、出血。因此,团队使用经支气管自然腔道冷冻消融技术,术程顺利,无气胸、出血等并发症,体现了该技术在安全性方面的独特优势。

手术室术中场景
术后24小时复查CT,未见气胸及出血,何叔一般情况良好,观察2天无异常出院,交代一月后返院复查。
安全的微创——经支气管道冷冻消融术
“经支气管肺部肿瘤冷冻消融术是一种针对周围型肺癌的新型治疗手段,该手术利用人体自然腔道路径,从鼻腔或口腔经支气管镜引导直达病灶,可有效避开血管和肋骨等结构障碍,安全顺利地到达经胸壁治疗的盲点和禁区。相比传统经胸壁穿刺方式,这种技术不损伤人体组织或结构,并发症更少,具有微创、恢复快、安全、疗效确切、可重复等优点,为原发肺癌、肺转移瘤、术后复发、多发肺部肿瘤、不耐受或拒绝外科手术、心肺功能受限的患者提供了全新的治疗方式。”李静介绍。
肺癌是全球最常见的恶性肿瘤之一,其发病率和死亡率居癌症首位。部分肺癌患者因高龄、心肺功能不全、多原发或术后新发,不宜进行手术切除且在传统的放化疗中获益有限,局部消融术作为一种微创技术已广泛应用于早期周围型肺癌的治疗中。冷冻消融因其良好的治疗体验、卓越的安全性以及显著的疗效,已被全球临床医师认可和遵循的美国国立综合癌症网络(National Comprehensive Cancer Network NCCN)指南推荐为首选的非小细胞肺癌局部消融治疗方式。
此次手术的成功开展,彰显了广东省人民医院在呼吸介入领域的综合实力。未来,团队将持续探索微创技术前沿,推动肺癌个体化治疗,为更多患者提供优质诊疗服务。
李静、陈兢兢
广东省人民医院呼吸与危重症医学科简介

广东省人民医院呼吸与危重症医学科是博士及硕士研究生培养点,国家卫健委第一批呼吸专科医师培训基地、中国医师协会呼吸内镜医师培训基地、国家临床药物试验(GCP)基地、国家卫健委呼吸疾病临床路径专家单位、中华医学会呼吸病学分会委员单位、广东省医师协会主委单位、广东省医学会呼吸病学分会副主委单位、广东省药学会呼吸临床用药专家委员会主委单位,是华南地区最重要的呼吸系统疾病诊治中心之一。
呼吸与危重症医学科部分亚专科项目填补了国内技术空白,尤其在气道和肺部介入诊疗、睡眠呼吸疾病、慢性阻塞性肺疾病(慢阻肺)、哮喘、肺部感染、胸膜疾病、肺癌个体化治疗等方面诊治水平国内领先。
专家介绍

李静 主任医师
广东省人民医院呼吸与危重症医学科主任,主任医师,医学博士,博士研究生导师。中国医师协会呼吸介入医师培训基地主任。
从事呼吸内科临床工作三十余年,对呼吸科常见病如哮喘、慢阻肺、肺结节、肺部感染、间质性肺病的鉴别诊断等具有丰富的临床诊疗经验。
擅长诊治呼吸内科危重及疑难杂症,精通呼吸介入各项高新技术的操作技能,如气道内支架置入术、重度慢阻肺经支气管肺减容术、冷热消融术、大咯血微球囊置入术、气管支气管瘘微创封堵技术、干细胞治疗技术及内科胸腔镜检查术等。国内最早开展气道内超声检查技术、经支气管导航技术应用研究及经皮肺穿刺机器人研发工作。
出诊时间:周一上午、周二上午、周三上午

陈兢兢 副主任医师
广东省人民医院呼吸与危重症医学科副主任医师。研究方向为肺部疾病的诊断及介入治疗。
擅长各种肺良恶性病变的诊断及治疗(包括介入治疗),对呼吸道常见疾病如慢性咳嗽、慢性阻塞性肺疾病(慢性支气管炎、肺气肿)、肺源性心脏病、肺部感染、支气管肺癌、支气管哮喘、胸腔积液、气胸以及急慢性呼吸衰竭等呼吸疾病的诊治积累了丰富的经验。擅长支气管镜、内科胸腔镜、肺功能等的临床应用,各种气道介入治疗技术如肺减容术、高频消融、冷冻、球囊扩张术、胸腔镜等。
出诊时间:周二上午、周五上午