关注我们


近日,广东省人民医院神经外科团队凭借精湛的微创和内镜技术,在不开颅的前提下,采用经眉毛的微小切口,成功为一名颅内大型脑膜瘤患者实施了高难度的经眶肿瘤切除术。肿瘤全切,术后患者恢复良好,无并发症。
病例回顾:头痛背后暗藏巨大肿瘤
54岁的张女士(化名)因持续2个月的间歇性头痛就诊于我院神经外科。头颅CT检查显示其右侧颞叶巨大脑膜瘤,压迫邻近脑组织,直径达3公分,如不及时处理,患者可能会面临出现眼球运动障碍甚至失明的风险,手术治疗迫在眉睫。
脑膜瘤多为良性,但若巨大生长、位置深在、毗邻重要神经血管,手术风险较高。该患者的肿瘤位于颞极,邻近视神经和颅内颈内动脉等大血管,传统开颅手术需大切口、剥离颞肌、广泛牵拉脑组织,可能导致神经功能损伤。为最大限度降低创伤、保障患者术后生活质量,神经外科主任万锋教授、郭止戈博士团队经过充分影像评估与术前规划,决定采用经眶颞极微创入路实施肿瘤切除。

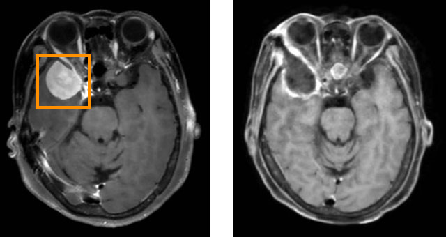
左图为术前MRI,术后MRI(右图)显示肿瘤已全切除
技术突破:经眶入路,微创与内镜的“双剑合璧”
经眶入路是近年来神经外科领域兴起的前沿技术,通过眉弓和眶缘微小切口(通常<5cm)建立手术通道,结合神经内镜与显微操作,可精准抵达中颅窝的颅底病变,避免传统开颅的较大头皮切口损伤,且直达肿瘤和肿瘤附着的基底面、完全不用牵拉颞叶脑组织,同时可以更好的控制肿瘤血供、减少出血。
该术式需要同时对眼眶和颅底的解剖非常熟悉,属于“跨界”学科,需要神经外科显微手术和内镜手术的扎实基础,以及团队配合,否则难以做到“精准、微创”、也难以做到对此类大型颅内肿瘤的完全切除。神经内镜与显微镜技术相结合在颅底肿瘤手术中展现出诸多显著优势。显微镜能提供高分辨率、立体感强的显微图像,方便医生清晰辨识肿瘤与周围组织结构,进行精细操作。而神经内镜则具有独特的广角视野和多角度观察能力,能够更好地辨认小血管和神经,保留重要结构,避免损伤和提高手术的安全性。二者结合,既发挥了显微镜在精细解剖操作上的优势,又借助神经内镜拓宽了手术视野,使医生在切除肿瘤时,能更精准地保护周围重要组织,减少肿瘤残留,为患者带来更好的预后。

经眉毛的微小切口只有5cm以内
手术亮点:
· 切口隐蔽,兼顾功能与美观
手术采用眉下沿皮纹切口(长约4.5cm),术后疤痕隐藏于眉毛下方,满足患者对颜面部外观的需求。
· 微创直达,降低神经损伤风险
术中通过磨除部分眶骨质,建立直抵颞极区的“绿色通道”,在高清内镜辅助下清晰辨识肿瘤与周围神经血管关系,有效保护视神经、动眼神经及颞叶功能。
· 肿瘤全切,术后恢复加速
该入路直达肿瘤附着的基底面,可以更好的控制肿瘤血供、减少出血,且不用牵拉脑组织,达到手术全切(Simpson分级0级),术后CT及MRI复查确认无残留。患者术后第2天即下床活动,较传统术式住院周期显著缩短。
此次手术的成功,得益于我院神经外科在以下领域的长期深耕与创新实践:
· 术前多模态影像重建,显示肿瘤和邻近重要神经血管的三维重建影像,辅助手术入路的规划和切除方案的制定,指导术中切除策略和缩短手术时间。
· 内镜技术全领域覆盖:依托4K超高清神经内镜系统,团队已实现颅底肿瘤手术的全内镜化或内镜辅助微创化。
· 多学科协作攻坚复杂病变:联合眼科、耳鼻喉科、影像科及病理科组建颅内肿瘤MDT团队,为眶颅沟通瘤、岩斜区肿瘤等疑难病例提供一站式解决方案。
“脑膜瘤是神经外科常见良性肿瘤,早期多无特异性症状,但若发现及时、治疗规范,绝大多数患者预后良好。”万锋主任强调,“随着微创技术的发展,我们已能通过更小创伤实现肿瘤全切,最大程度减少术后并发症。患者一旦出现持续性头痛、视力减退或手脚活动障碍,应尽早至神经外科专科门诊排查。”“此外,在合适的病例,经过充分术前评估,我们可以做到对神经结构微创的同时、对切口和体表的微创,病人不用剃发、更快康复、回归正常生活。”
神经外科内镜技术以“微创化”为核心,凭借切口小、损伤少、恢复快的显著优势,其技术特色在于:通过自然腔道(如经鼻蝶入路)或微小骨窗直达病灶,避免大面积脑组织暴露与牵拉,结合高清广角内镜与多角度镜头,突破深部狭小空间的视野局限,实现肿瘤与血管、神经的精准分离;术中出血少、术后疼痛轻,患者住院时间缩短至3-5天,且感染、脑脊液漏等并发症发生率显著降低。主要诊治范围覆盖颅底肿瘤(垂体瘤、脊索瘤)、脑积水、颅内囊肿、脑出血等,尤其适用于特殊生长方式的深部肿瘤及内镜辅助下的其他神经外科疾病。
专家信息

万锋
医学博士,毕业于华中科技大学
广东省人民医院神经外科科主任、学术带头人。教授,博士研究生导师,博士后合作导师
广东省医师协会神经肿瘤专委会主任委员
广东省医学会神经外科分会副主任委员
欧美同学会医师协会神经肿瘤分会秘书长兼副主任委员
中国医师协会脑胶质瘤专委会基础研究与转化专委会副主任委员
中华医学会小儿神经外科全国委员
中国胶质瘤协作组委员、中国医师协会脑胶质瘤专业委员会委员
中国临床肿瘤学会神经系统肿瘤专家委员会委员
中国儿童肿瘤精准诊疗协作组副组长
国家自然科学金评委、教育部回国留学启动基金评审专家
德国海德堡大学神经外科博士后,瑞士苏黎世大学神经外科、德国汉诺威国际神经科学研究所、柏林Charity医院神经外科访问学者,美国Barrow Neurological Institute访问学者。Frontiers in Oncology专题客座主编
编写“十二五”计划国家精品视频课程《颅脑损伤》;编写外科学8年制教材增值版《颅内压增高和脑疝英文版》;参编国家“十四五”规划教材神经外科亚专科之《神经肿瘤》分册、《小儿神经外科》分册;参编国家卫生健康委员会住院医师规范化培训规划教材第2版研究生教材及小儿外科住院医生规培教材。执笔《中国儿童脑积水专家共识》、《中国儿童低级别胶质瘤诊疗指南》、《中国儿童高级别胶质瘤诊疗指南》《Theranostic》《Cancer Letters》等杂志审稿专家。
第一作者或通讯作者SCI文章31篇,总影响因子130余,2016年ESI检索“高被引论文”

郭止戈
毕业于浙江大学临床医学八年制,医学博士,师从我国著名神经外科医学专家张建民教授。
对常见脑肿瘤、脑积水、三叉神经痛及面肌痉挛疾病的诊治具有一定的临床经验。
主要聚焦于神经系统疾病影像组学分析及临床转化研究,共发表高水平SCI论文8篇,总影响因子42,主持市级课题1项。
许丁康