关注我们


生命之树常青,健康守护无龄界。在广东省人民医院神经外科病房,近期洋溢着温暖与希望的气息。短短时间内,周东教授团队已成功为20位高龄的复杂脑肿瘤患者实施手术并顺利出院。其中,84岁的李奶奶(化名)的故事,正是这支团队在高龄神经外科领域精湛技术与人文关怀的生动缩影。
6年前,李奶奶曾在香港接受左枕部窦旁脑膜瘤手术。近期肿瘤复发,让家人对二次开颅手术充满忧虑。年龄,从来不是周东教授团队放弃治疗的理由,而是制定更周密安全方案的起点。
高龄手术,安全为先
当今,高龄患者神经外科手术需求显著增长。周东主任深知患者与家属的担忧:“高龄并非手术的绝对禁区,关键在于精密评估、周全预案和过硬的技术保障。”团队的核心目标,是让高龄患者在安全的前提下,获得最佳治疗效果,重拾生活希望。
精准护航,化解风险
· 术前精算:利用高清影像,团队全面评估李奶奶的身体状况、肿瘤位置与毗邻关键血管神经的关系,量身定制微创、高效的手术方案。
· 心内科把关,排除隐患:术前,团队高度重视李奶奶的心血管状态,特邀心内科专家联合会诊,进行全面的心脏功能评估,精准排除了手术禁忌,为“安心开颅”打下第一道坚实基础。
· 麻醉专家坐镇:经验丰富的麻醉团队全程守护,实施精准化、个体化的麻醉管理。他们如同手术台上的“生命守护神”,严密调控李奶奶的血压、心率、氧合等关键指标,确保她在深度“睡眠”中平稳度过手术期,最大程度减少生理波动带来的风险。
· 术中“绣花”:在高清显微镜与实时神经电生理监测下,周东主任带领团队在神经与血管交织的精密网络中谨慎操作,成功将复发的脑膜瘤完整切除,完美保护了脑功能。
· 术后暖心康复:在多学科协作的精细化护理下,李奶奶恢复顺利,意识清晰,言语和肢体活动良好。家属的焦虑化为欣慰的笑容:“没想到母亲这个年纪,手术这么顺利,恢复得这么好!”

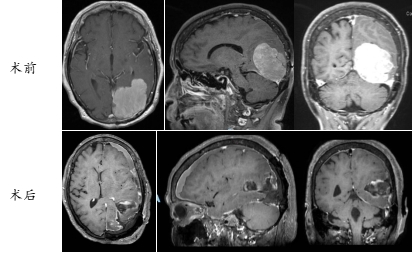
术前术后影像资料对比
“面对高龄患者,我们的责任不仅是技术上的成功,更要传递安心与信心。”周东主任表示,“每一次成功的高龄患者手术,都依托于团队深厚的技术积累、严谨的围手术期管理和对个体生命的充分尊重。希望告诉更多银龄朋友和家庭:高龄遇上疾病,无需过度恐慌,寻求专业评估,安心康复之路就在前方。”
“耄耋之约”,是生命对健康的渴望,更是医者对责任的坚守。广东省人民医院神经外科周东教授团队,正以精湛医术为笔,以仁心担当为墨,在银发浪潮中,为高龄神经疾病患者筑起一道坚实的健康防线,守护每一份银龄健康,点亮每一个安心的晚年。
阿拉法特•瓦哈甫