关注我们


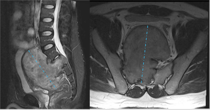
37岁的黄先生(化名)作为家中独子,是年迈父母的精神支柱和整个家庭的顶梁柱。3个月前的一次体检中,磁共振检查提示盆腔内生长着一个体积达18×16×12厘米的巨大肿瘤,如同一颗随时可能引爆的“炸弹”。肿瘤起源于骶2神经根,前方紧贴膀胱,侧方包裹输尿管与右侧髂内动静脉,后方毗邻直肠,多家医院均因手术风险极高而建议转院治疗。

抱着最后一丝希望,黄先生来到我院脊柱外科门诊。陈崇博士接诊后,立即组织全科讨论:肿瘤体积巨大、解剖关系极其复杂,如果手术,可能会损伤大血管,导致致命性出血的风险极高,还需兼顾保护马尾神经功能。患者如此年轻,若神经功能受损导致大小便失禁或下肢瘫痪,对这个家庭将是毁灭性打击。面对挑战,脊柱外科团队决定“亮剑”,3D打印实验室紧急制作肿瘤模型,脊柱外科、泌尿外科、麻醉科、输血科、重症医学科等多学科专家围绕模型反复推演,精准设计"前-后-前"联合入路方案,在虚拟空间预演每一个分离步骤,力求实现肿瘤完整切除与神经功能保留的双重目标。

经过充分的术前准备,魏强主任医师领衔的泌尿外科团队与脊柱外科尹东主任医师团队携手,采用“前-后-前”联合入路打响“攻坚战”。首先行前路手术,在狭窄的盆腔深部分离肿瘤,发现肿瘤被上百条坚硬的韧带及致密结缔组织紧密包绕,犹如“钢筋铁骨”,分离难度极大,稍有不慎便可能损伤髂内大血管或输尿管。随后翻身行后路手术,这是整个手术的核心与难点:术者需在显微镜下于椎管内“抽丝剥茧”,仔细辨认并分离被肿瘤压迫、推挤的骶1、骶2、骶3神经根及马尾神经,在完整切除肿瘤的同时,力争保留每一根神经纤维。完成椎管内松解与腰骶部力学重建后,再次前路手术,最终将这颗重达3公斤的“巨型炸弹”分两块完整取出。魏强主任感叹:“这是我职业生涯中遇到的最大盆腔神经鞘瘤。”尹东主任也表示:“如此巨大的腰骶神经鞘瘤,在脊柱外科领域也极为罕见。”

术后转入ICU观察24小时后,黄先生生命体征平稳返回病房。在护理团队精心照护下,他恢复顺利,术后第3天即在腰围保护下下床活动,双下肢肌力及大小便功能完好无损。当黄先生看到病理报告上的“神经鞘瘤,切缘阴性”时,这位七尺男儿眼眶湿润,与年迈的父母向医护团队致谢。

此次手术的成功,不仅标志着我院在复杂脊柱-骨盆肿瘤领域的救治能力达到国内先进水平,更彰显了多学科协作(MDT)模式在攻克疑难重症中的关键作用。
陈崇