关注我们


近日,广东省人民医院老年呼吸二科吴健主任团队凭借气管镜下支气管单向活瓣堵塞术,成功为一名76岁顽固性气胸患者根治顽疾。该患者一月内四次突发气胸,多次常规胸腔引流治疗后仍反复发作。经吴健主任团队系统评估、精准施治,患者最终摆脱反复“爆肺”的折磨,顺利康复出院。
2025 年11月中旬,76岁的樊伯(化名)在家中修剪植物时因用力不当,突发胸痛、胸闷气促伴呼吸困难,家人紧急将其送至当地医院救治。胸片确诊右侧大量气胸,医院第一时间给予胸腔穿刺抽气 + 闭式引流紧急处理,住院10天顺利拔管出院。
然而,出院后短短一个月内,樊伯的气胸先后3次复发 —— 每次肺‘破裂’,胸闷气促、呼吸困难的症状便会骤然加重,只能频繁奔波于医院急诊与住院部之间。尽管每次抽气、胸腔闭式引流后,症状暂时缓解,影像提示肺复张,但拔管后不久病情就会再次反复。即便卧床休息,也未能阻止病情反复,频繁的就医奔波让樊伯及其家属备受煎熬,身心备受煎熬,正常生活几近停摆。
2025 年12月3日,备受病痛折磨的樊伯慕名慕名前往广东省人民医院老年呼吸二科,寻求吴健主任的专业诊治。就诊时,樊伯仅行走数步便因胸闷、呼吸困难需多次驻足休息。吴健主任查体后,高度警惕其右侧气胸再发,当即为其安排门诊胸片检查,右肺压缩90%,病情危急。科室立即为患者吸氧,并用轮椅护送其至急诊接受右侧胸腔穿刺及闭式引流术,次日樊伯顺利转入病房,接受进一步系统治疗以及量身定制个性化诊疗方案,通过精准施治与精细化护理,樊伯的气促症状迅速缓解。12 月 10 日复查胸部 CT 显示右肺复张效果理想。但当医护团队尝试夹闭引流管观察三天后,樊伯的胸闷、气促症状再次出现。吴健主任第一时间组织团队细致查体、深度复盘病情:结合樊伯既往慢性阻塞性肺疾病病史、肺部影像提示的多发肺大泡(肺部结构基础差),以及一个月内四次气胸复发的特点,判断其并非单纯性气胸,核心症结是‘支气管胸膜瘘’—— 即支气管与胸腔之间形成了异常‘漏气通道’,导致气体持续渗入胸腔,瘘口难以自行愈合,肺也无法实现真正意义上的复张;治疗核心要点包括:封堵瘘口;水封瓶压力的精准调节、负压引流的大小与时机把控、夹管观察的节奏等操作需精准把控;抗感染、通便、止咳、营养支持等辅助治疗也需同步开展综合评估与精细化管理。

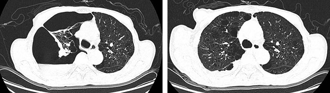
胸部CT。左:右侧液气胸,右肺受压塌陷约 90%,合并双肺多发肺气肿改变(2025-12-03)。
右:原压缩右肺较前复张(2025-12-10)
经科室内多学科病情研讨、全面评估患者身体状况,并与家属充分沟通治疗方案后,2025 年12月17日下午,吴健主任带领团队(黄禹副主任医师、傅振利医师)及气管镜室护理团队,为樊伯实施气管镜下支气管单向活瓣堵塞术。手术全程在局麻下进行,樊伯配合度良好:第一步,借助 国际先进的Chartis 肺评估系统开展肺叶旁路通气检测,成功精准定位右下叶背段支气管的瘘口(即‘漏气点’);第二步,通过专用输送导管精确测量瘘口深度与宽度,匹配最优尺寸的单向活瓣;第三步,成功将一枚单向活瓣精准置入右下叶背段开口处。整个手术不足1小时,过程平稳顺利,术后樊伯安全返回病房。

纤维支气管镜下见右下叶背段支气管胸膜瘘并完成EBV单项活瓣置入
术后,置入的单向活瓣如同一枚精准调控的‘“智能门控”,吸气闭合,呼气打开,肺内残留气体逐步排除,从而促进肺组织膨胀、瘘口愈合。在医护团队的精细化照护下 —— 持续优化胸腔负压引流参数、全程监测病情变化,同步配合卧床休养与营养支持等辅助方案,樊伯未再出现气促、胸闷症状,胸片复查右肺已完全复张;后续停用引流并夹管观察 4 天,再次复查胸片未见气胸复发,于12月22日拔除引流管,顺利康复出院,出院 10 天后,樊伯专程前往吴主任门诊复诊,樊伯精神矍铄、笑容舒展,复查胸片未见气胸复发。樊伯及家属满心感激,称赞老年呼吸二科医护团队‘医术精湛、服务暖心’,用精准微创的技术为他们解决了困扰多日的顽疾!

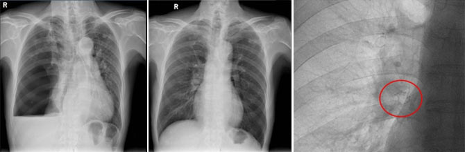
左图:2025-12-03入院前右侧液气胸,右肺压缩约90%。
中图:2025-12-31出院10天后,门诊复诊,右肺完全复张。
右图:红色圈中放大可见右肺下叶置入EBV活瓣。
科普:支气管胸膜瘘是什么?活瓣如何 “止漏”?
1. 支气管胸膜瘘:简单说就是支气管和胸膜腔之间形成了异常 “漏气通道”,好比肺上破了个小孔 —— 呼吸时气体不断从支气管漏进胸腔,哪怕反复做胸腔引流,只要这个 “漏气口” 没闭合,肺就难维持复张,这也是部分气胸反复发作的根本原因。
2. 治疗方式:
· 传统方案:肺功能好、能耐受手术的患者,可选择外科手术修补或切除病灶;
· 微创方案:对于高龄、肺功能差、基础病多(如慢阻肺、肺大疱)或不耐受手术的患者,经支气管镜介入治疗更安全微创。其中,单向活瓣是核心装置 —— 经支气管镜精准放入漏气支气管,原理就是 “只出不进”:允许肺内气体排出,不让气体再漏进胸腔,从而降低局部压力、减少漏气,帮瘘口自然愈合、肺组织复张。
· 技术优势:不用开刀,经人体自然气道操作,特别适合不适合外科手术的老年患者。
温馨提示
1. 气胸症状:胸痛、胸闷、呼吸困难、咳嗽是典型表现。部分人在剧烈活动、持重物后发病,也有人在日常活动或安静休息时突发。
2. 气胸治疗与预防:轻症可通过休息、吸氧等保守治疗恢复;重症或反复发作者需手术或气道介入治疗。预防重点:戒烟,避免剧烈运动。
3. 警惕信号:反复发生气胸,尤其老年患者、有慢阻肺 / 肺大疱等基础病,或术后顽固漏气、慢性肺部感染者,要警惕支气管胸膜瘘。及时确诊后,支气管镜下活瓣置入能精准堵瘘,避免反复引流复发,助力康复。
科室简介
广东省人民医院老年呼吸二科在科室正副主任吴健主任医师、郭纪全主任医师及宋湘红护士长的带领下,长期深耕呼吸系统常见病与疑难病症的精准诊治。近年来,科室已成功开展数十例顽固气胸、支气管胸膜瘘、支气管食道瘘的经气管镜介入封堵术,以及近百例经气管镜肿瘤消融、气道支架扩张术,积累了丰富的气道介入临床经验,服务辐射省内外众多患者。
科室始终以技术创新为核心驱动力,培养硕博士30余名,现拥有 4 项气道支架相关专利、1项支气管胸膜瘘新技术成果、4 项国家自然科学基金资助,关于瘘口修复的研究成果已发表于《Stem Cell Research and Therapy》《Annals of Translational Medicine》等国际知名期刊。未来,科室将持续聚焦临床需求,为患者提供更安全、精准、高效的优质医疗服务。
老年呼吸二科