关注我们


近日,广东省人民医院综合外科上演了一场精准与勇气的医疗挑战。一位94岁高龄的婆婆因饱受食管裂孔疝折磨,生活质量严重下降。在多学科团队的保驾护航下,成功接受了腹腔镜微创手术。术后4天便达到出院标准,刷新了该类手术的高龄纪录,展现了省医在复杂疝外科及高龄患者围手术期管理领域的雄厚实力。
九旬老人苦不堪言,微创手术成唯一希望
据了解,这位高龄患者长期被反酸、烧心所困扰,近期更是出现了进食后严重的腹胀与呕吐症状,导致营养摄入困难,身体每况愈下。家属带着老人辗转多家医院,均因超高龄、手术麻醉风险极高而被告知难以进行手术干预。
“每次吃完饭就吐,看着母亲那么痛苦,我们心里特别难受。”患者家属回忆道。最终,他们抱着最后一丝希望来到广东省人民医院。
入院综合外科后,经详细检查,老人被确诊为食管裂孔疝——即本应位于腹腔的胃通过膈肌的食管裂孔“钻”进了胸腔,导致胃食管反流和消化道梗阻。若不及时手术,不仅无法进食,还可能引发嵌顿、坏死等致命风险。然而,94岁高龄、心肺功能储备差,让这场手术如同一场“走钢丝”。

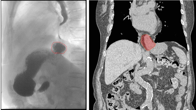
左:上消化道造影:红圈为疝入胸腔的胃底;右:胸腹CT平扫:阴影部分为疝入胸腔的胃底及网膜组织。
【科普小知识】
食管裂孔疝是指腹腔内脏器(主要是胃)通过膈肌食管裂孔进入胸腔的一种疾病。这个裂孔是食管穿过膈肌的通道,当周围组织松弛或腹腔压力增高时,胃就可能“钻”上去,引发胃食管反流,出现反酸、烧心、胸痛、吞咽困难,甚至咽痛、干咳、胸闷胸痛、支气管炎等症状。长期反流不仅严重影响生活,还可能导致反流性食管炎、溃疡出血、食管狭窄,甚至增加食管癌变风险。因此,出现相关症状应及时就医评估。
多学科“护航”,2小时精细操作解除病根
面对挑战,广东省人民医院综合外科立即启动多学科诊疗模式。由综合外科、麻醉科、重症监护室、手术室护理团队组成的专家团队进行了充分的术前评估与预案制定。
“高龄不是手术的绝对禁区,关键在于精细的术前准备和创伤最小化的手术策略。”综合外科主任胡世雄表示。
在麻醉科李海风团队的精准调控下,由省医综合外科疝病专家胡世雄主任领衔、韦禄胜博士担任助手,成功为王婆婆实施了腹腔镜下行食管裂孔疝补片修补+胃底折叠术。手术仅在腹部开了几个小孔,借助高清镜头放大视野,医生们精准地将疝入胸腔的胃还纳回腹腔,并修补了缺损的食管裂孔,折叠胃底重建抗反流瓣。整个手术过程流畅,耗时仅2小时,术中出血极少。
术后即刻拔管,快速康复见证“省医速度”
更令人惊叹的是患者术后的恢复速度。得益于微创手术的创伤小和麻醉用药的精准把控,王婆婆在手术结束后当即被成功拔除气管插管和胃管,生命体征平稳,神志清醒。
术后第一天,困扰老人多时的反酸、呕吐症状完全消失,并开始尝试流质饮食,拔除尿管和静脉留置针。在快速康复外科理念的指导下,护理团队为其制定了详细的营养与活动计划。术后第四天,老人各项指标良好,顺利康复出院。
“真没想到这么大年纪做手术,能恢复得这么快,这么好!谢谢省医的医生护士们!”出院时,王婆婆的家属紧紧握住医生的手,激动之情溢于言表。
专家解读:高龄手术应关注生活质量
此次手术的成功,不仅为一位94岁老人解除了病痛,也为高龄外科手术提供了宝贵经验。
广东省医师协会疝与腹壁外科医师分会主任委员胡世雄主任指出,随着社会老龄化加剧,像食管裂孔疝这样的老年常见病日益增多。虽然高龄常伴有多种慢性病,但如果疾病已经严重影响生活质量,在现代微创技术和多学科协作的支持下,年龄不应成为放弃治疗的唯一理由。
此外,3月3日胡世雄团队还进行了2台腹腔镜食管裂孔疝修补手术全国直播,包括一位89岁反复食管出血和反酸腹胀的食管裂孔疝高龄男性患者。超高龄患者腹腔镜食管裂孔疝修补术的顺利实施,再次印证了广东省人民医院在处理复杂、高危、复杂腹部外科疾病方面的综合实力和多学科协作优势,真正践行了“以患者为中心”的医疗理念,为更多高龄患者带来了重获高质量生活的希望。
【健康提示】
食管裂孔疝是中老年人的常见病,主要表现为反酸、烧心、胸痛、干咳、吞咽困难及反复发作的呼吸道感染等。若出现上述症状,建议尽早至正规医院普外科或疝与腹壁外科门诊就诊咨询。对于药物难以控制或出现严重并发症的患者,腹腔镜微创手术是安全有效的治疗选择,即使在超高龄患者中,通过多学科协作也能获得良好预后。
【门诊时间】
胡世雄 主任医师,周三下午,东川疝病专科门诊323诊间
韦禄胜 博士, 周四上午,食管裂孔疝和反流病门诊573诊间
韦禄胜