关注我们


2014年8月30日凌晨2时,伴随着一声啼哭,小宝宝来到人间,但他太着急,还没有足月,出生时体重仅1.5千克,同时他的心脏和肺脏均发育不全,经过一系列检查,小宝宝患有新生儿支气管肺发育不良、新生儿肺炎、呼吸衰竭、房间隔缺损、肺动脉狭窄……
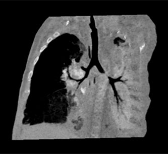
经过NICU(新生儿重症监护室)的积极抢救,并在2014年12月5日行房间隔缺损修补术后,小宝宝心脏脱险了,但他仍反复肺部感染,无法脱离呼吸机的支持自由呼吸,气管镜检查发现左主支气管近端重度狭窄,胸部CT同样提示左肺发育不良,明显缩小,左主支气管局部狭窄近乎闭塞。怎么办?难道要让宝宝一直带着气管插管和呼吸机生存?

CT显示左主支气管局部狭窄近乎闭塞
这时NICU孙云霞主任找到了呼吸内科李静主任。李静主任在仔细查看小宝宝的情况后,提出了给宝宝左主支气管放置一枚支架,将左主支气管支撑起来。但摆在面前的难题是小宝宝只有1.5千克,左主支气管直径只有5mm左右,尚没有如此小直径的支架,即使可以定做,还有一个技术问题未能解决,目前可用的支架为金属支架,金属支架放置在小宝宝身上后,大多会遭受肉芽增生的困扰,并因此需反复进行肉芽组织的清理。小宝宝还这么小,放置支架后反复肉芽增生怎么办,有没有可以抑制肉芽增生的支架呢?就在会诊专家苦恼之际,李静主任灵机一动,提出了新方案——用冠脉药物缓释支架代替。
小宝宝不能等,说干就干,2015年4月7日下午3时,李静主任的气管镜团队和孙云霞主任的NICU团队齐聚新生儿重症监护室。看着小宝宝上着呼吸机静静地躺在病床上,在场所有医务人员都不忍心去打扰他,但医生们都知道,只有尽快地让他顺畅呼吸才能真正让他活下来。孙云霞主任密切关注着宝宝生命体征的变化。
操作开始了,李静主任以最轻柔的手法最快的速度用气管镜查看左主支气管的情况,准确定位狭窄位置,测量狭窄长度,再与支架反复比对标记,力求做到位置精准。再三确定位置后,在气管镜直视下支架首先被引导至左主支气管狭窄处,随着李静主任一声令下“释放”,刹那间,支架释放出来、张开了,位置准确无误,宝宝的左主支气管也撑开了,再看呼吸机,参数降下来了,血氧饱和度稳住了。

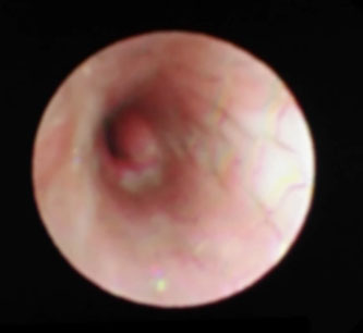
支架植入术后左主支气管管腔通畅
半个月后气管镜复查,小宝宝的支架内未见肉芽组织增生,管腔很通畅,现已拔掉气管插管。
李静主任介绍,目前没有小儿专用的气管支气管支架,多数使用血管支架替代,属于跨适应症使用,只有在严格选择病例,在没有其它更好的替代方法的前提下,经严格的讨论和伦理的审准,与家属充分沟通获得理解并签字同意之后才可应用。
呼吸科