关注我们


微创手术是现代医学的发展趋势。微创是新技术,从多孔胸腔镜手术到现在的单孔手术,微创手术的理念不断更新。单孔胸腔镜手术的目的是以最小的创伤,获得与传统(多孔)手术同样的治疗效果。
单孔手术切除幼儿巨大肺大泡,刷新两项纪录
近期,我院胸外科成功为一名1岁11个月的幼儿实施了单孔胸腔镜右上肺巨大肺大泡切除,手术一年左右患儿随访恢复良好。此例手术为胸外科最小年龄小儿单孔胸腔镜肺楔形切除手术,同时,刷新了麻醉科成功实施单肺通气的最小年龄纪录。
这名幼儿因经常感冒,突发气促、呼吸困难,在当地某三甲医院查出气胸,右肺上部分存在巨大肺大泡,予放置胸腔管闭式引流,但持续漏气不能拔管。因患者年龄太小,当地医院未能予行胸腔镜微创手术,幼儿家长经人推荐转到我院胸外科,主诊的是胸外科副主任医师周海榆博士。周博士认为,手术治疗对小孩是最佳治疗方案,通常,此类手术经典的做法是采用胸腔镜微创手术,成年人胸科手术的胸腔镜微创手术非常成熟,多孔及单孔胸腔镜肺叶手术在我院早已成熟开展。此病例幼儿年龄太小,整个胸腔空间很小,胸腔镜器械难以在狭小的胸腔内操作,稍有不慎损伤心脏、大血管则后果不堪设想。如果麻醉能够实现患儿单肺呼吸,微创手术可能是更好的选择,但对麻醉技术和要求更高。

1岁11月幼儿右上肺巨大肺大泡并气胸
麻醉科和小儿监护室为胸外科幼儿单孔手术保驾护航
经详细的病情分析,经王晟主任、郑勇博士麻醉科团队,以及郭予雄小儿监护团队的多学科会诊,胸外科周海榆博士、田单博士团队结合多年的单孔操作技巧和路径选择经验,在胸外科陈刚主任的指导下,决定应用单孔胸腔镜技术来切除幼儿右上肺的巨大肺大泡。
对于1岁11个月大的幼儿来说,术前要考虑和评估的问题更多,手术操作也需更谨慎。首先要决定的麻醉的问题,麻醉医生术中实施肺隔离技术进行单肺通气,即非手术一侧单肺通气保证氧供,而手术一侧肺不通气并且塌陷,为手术操作提供足够空间。临床常用双腔支气管导管或支气管封堵器进行肺隔离单肺通气,但是目前临床上还没有用于12岁以下的双腔管和8岁以下的封堵器。郑勇博士的麻醉方案得到王晟主任和全科集体讨论的同意。
从保护婴儿呼吸和身体状况考虑,创伤越小并发症也越少。手术由周海榆博士主刀,手术从胸右侧第5肋间腋中线3cm作为入路。首先,主麻醉医师郑勇博士采用小儿单腔气管导管,全麻下用小儿纤支镜引导,将4号气管导管精准插入患儿左侧主支气管,成功实施了单肺通气,为胸腔镜单孔微创手术提供了可靠而有力的保障。紧接着,周博士应用单孔器械,以娴熟精细的操作技巧,将肺部囊肿以楔形切除,成功取出直径5cm的肺囊肿和部分肺组织,最大程度保留幼儿肺部功能。整台手术约40多分钟,术后幼儿送小儿监护室,郭予雄主任协助术后康复检测和进一步治疗。幼儿康复很快,第二天拔除胸腔引流管,术后第四天由他爸爸抱着出院。

周海榆博士在做单孔胸腔镜手术(右侧图为手术切口)

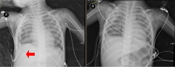
患儿手术前后的胸片对比(箭头所示为右上肺囊肿)
微创手术仅是手段 治疗效果才是目的
周海榆博士介绍说,胸腔镜从多孔到单孔的进程,从4-5cm的大单孔到3cm以下,甚至极致到2.5cm的微单孔,逐步实现从“皮毛微创“到”技术微创”。多孔到单孔,不但是孔少了,孔小了,更要求思路、器械和路径的转变,从大单孔到到微单孔,则是精益求精的外科操作思维的极致体现,需要熟练的外科技术积累。微创手术不是目的,手术需遵循相应的规律,首先是评估是否达到安全要求,其次是能彻底而有效的治疗,有了以上前提保证,微创才具意义。
从2014年开始,周海榆博士致力于单孔胸腔镜技术开展和改进,由原来的4-5cm大单孔,经过不断的技术改良和路径的探讨,已发展为今天的最小2.5cm的微单孔,肺叶微创切除手术时间也从近4小时大大缩短为1-1.5小时,手术给病人带来创伤减到最低程度。单孔技术的发展与外科微创技术的推行实现术后病人加速康复的理念相一致。
胸外科单孔技术的成熟发展得益于不断的探索和勇于尝试,国内这几年得到不断推广和更多应用开展。纵隔淋巴结清扫的个数和站数与传统手术必须达到和开胸手术一致,手术技术才能在临床应用得到大力推广。周海榆博士在哈佛医学院和麻省总医院做访问学者期间就做过相应的研究,并在2014年美国胸外科医师协会年会上获得该年度的最佳壁报(全美唯一胸外科医生),结果也同期发在《胸外科年鉴》这一胸外科领域比较权威的杂志上。周博士表示,单孔胸腔镜在治疗早期肺小结节和早期肺癌手术应用方面具有优势,在保证手术质量的同时,单孔胸腔镜手术联合肋间神经阻滞镇痛的方法,患者的围手术期镇痛效果明显,多数患者在术后两天左右便可出院。目前,单孔胸腔镜已应用于肺叶和更高难度的肺部袖状切除和气管手术,手术质量和手术时间完全可与多孔胸腔镜媲美。周博士已经率先在国内将单孔胸腔镜在早期食管癌开展,到目前为止已成功完成数十例,手术质量和手术时间与其他胸腹腔镜联合的食管微创手术一致,技术操作和路径选择都有了自己的特色!
技术推广至基层医院 让更多人受益
这几年,在陈刚主任的带领下,我院胸外科的胸腔镜微创技术发展全面,涉及肺癌、食管癌、漏斗胸、多汗症、肺大泡及各种良性肺、食管及纵隔良性肿瘤的微创胸腔镜手术治疗。陈主任还积极在全省推广胸腔镜手术技术,通过开办学习班,让更多的基层医生了解和掌握胸外科胸腔镜手术。目前,高州、茂名、东莞、汕头、揭阳、江西、广西乃至澳门等各地医院的众多年轻胸外科医生加入到广东省人民医院胸外科的微创培训团队,希望他们能够将学习到的胸腔镜手术技术带回去,造福更多人群。
周海榆 张松山