关注我们


近日,我院胸外科采用胸腔镜下微创全肺切除术,成功治疗一例超高龄的局部晚期肺癌患者。日前,该名93岁的患者已经完成全部诊疗,顺利出院,完全恢复日常生活。本次手术创造了全世界微创全肺切除术治疗肺癌的最高年龄记录。再次完成90岁以上的超高龄患者的肺癌手术,展现了我院胸外科以及由麻醉科、重症医学科、心内科、呼吸科、康复科等相关科室组成的MDT团队卓越的技术水平。
93岁的洪伯(化名)是一位癌症幸存者。6年前他就曾因前列腺癌在我院就诊,顺利完成根治手术。此外,近一个世纪的风霜给他带来了冠心病、糖尿病、高血压、肾功能不全等多种疾病。但是,老先生仍然积极面对生活、坚持每天锻炼。然而4个月前,当老先生因咳嗽入院时,再次袭来的疾病却更为严重:左肺发现一个拳头大小的肿物,同时,血中CEA、NSE等肺癌相关肿瘤标志物水平全面升高。以上征象均指向肺癌。面对这一危险的疾病,老先生并未退缩,仍然决定积极求治。他在儿女的陪伴下,再次来到我院就诊,步入了胸外科陈刚主任的诊间。
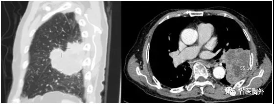
面对如此高龄的患者,在进行了一系列详细检查后,胸外科联合麻醉科、重症医学科、心内科、呼吸科、康复科、内分泌科等相关科室组成多学科团队,对老人的病情进行了全面的分析和讨论:老人的肺部肿物主要位于左下肺叶,并侵犯左上肺多个段,大小约7.7*5.5cm。伴有同侧肺门淋巴结肿大、代谢增高。但全身其他部位未见恶性肿瘤表现。根据术前的影像、检验和临床表现,老人肺部的肿块可以诊断为局部晚期肺癌。对于肺癌而言,目前的综合治疗方法包括手术、化疗、放疗、靶向和生物免疫治疗等,但具体到H老先生身上,年龄和肾功能问题使得化疗不可取,放疗难以覆盖巨大的肿瘤和肺门、纵隔淋巴结等整个区域,风险过高且效果不佳,靶向和免疫治疗需要活检取得组织标本进行基因分析,而患者术前支气管镜未能取得标本,且PET/CT显示肿瘤大部分坏死,穿刺成功率低、风险较大,而病人也拒绝穿刺活检。此外,对于有吸烟史的老年男性患者,靶向治疗的有效率也并不如意,免疫治疗的未知因素更多。在分析讨论了种种治疗方案后,MDT团队最终确认直接手术切除肿瘤是目前的最佳治疗方案。
在制定手术方案时,陈刚主任认为,此种大小的肿瘤微创切除难度很高,需做好充分准备以及时应对手术中可能遇到的各种意外情况,手术应以彻底切除病变和尽可能保留肺功能为原则。针对该例患者的复杂情况,准备行左下肺切除加上叶舌段切除手术,如不可行,则在术中评估安全性的前提下行左全肺切除术,这在如此高龄的患者中国际上尚没有先例。虽然微创手术技术要求很高,但是若进行开胸手术,手术创伤将显著增加,大大延长术后在ICU和住院的时间,进一步增加了手术和术后并发症的风险。所以,手术应尽量釆用微创方式进行。此外,老人同时患有高血压、糖尿病、冠心病、肾功能不全等多种合并症,极大的增加了手术风险。这些合并症的处理都必须要采用最佳的方式,并贯穿于包括整个手术过程的全部围术期。
手术前,通过心内科、内分泌科、呼吸科的协助,胸外科团队仔细调整并稳定了老人的血压、血糖,进行了充分的心肺功能评估和锻炼,并对其他合并症进行了妥善处理。经过充分准备后施行了手术,在手术过程中,遇到了一系列复杂问题,经过反复尝试,试行肺叶切除加肺段切除不能完全切除病变,陈刚主任在充分权衡患者的心肺功能后,为了保障肿瘤根治效果,决定进行全世界最高年龄的胸腔镜微创全肺切除。尽管手术过程困难重重,但在麻醉科的全力支持下,老人的各项生命体征基本保持平稳,最终手术顺利完成。手术后,患者按原计划转入ICU三区继续监护治疗。面对患者心、肾功能衰退和手术较大创伤的双重压力,ICU团队采用密切监护、最小干预的治疗原则,精密的维持了老人身体机能的脆弱平衡,顺利度过术后危险期。在返回普通病房后,胸外科和康复科团队通力合作,患者仅用6天即顺利出院,基本恢复正常生活。

巨大肿瘤侵犯左肺各叶,必须进行左全肺切除
我院胸外科是全国20家国家重点专科之一,在以手术为基础的肺癌综合治疗方面具有丰富的临床经验,在胸腔镜微创肺叶、肺段、全肺及肺叶袖式切除等肺癌手术方面技术水平卓越。我院还拥有强大的多学科团队,由心内科、呼吸科、麻醉科、老年病科等国家重点专科组建,在手术风险评估、术前合并症治疗和术后疾病管理方面具有丰富的经验,为手术成功和安全提供了全方位保障。
截至目前,胸外科已经采用多种微创手术方法,成功治疗大量早期及局部晚期高龄肺癌患者,其中包括数例90岁以上的超高龄患者。他们中有的已经在手术后健康存活十余年,现已达百岁高龄。近期还有一位老人,在78岁时曾在因肺癌在我科手术切除右上肺叶,十余年后91岁因左侧第二原发肺癌再次在我院就诊,陈刚主任再次成功对他进行了左侧微创肺段切除肺癌拫治手术。
对此,陈刚主任总结道:“我院连续成功手术治疗超高龄肺癌患者并不是偶然。借助我院强大的综合实力和胸外科团队的精湛技术,面对许多医院望之生畏的复杂、疑难、多合并症、超高龄肺癌的手术治疗,我们都具有独特的优势。超高龄患者常常组织血管脆性高,合并症多、恢复能力差,手术的风险和偶然性很大,但不少患者在经过仔细的评估,制定精准的微创手术方案,仍有机会进行根治性切除。故不应当单纯因为年龄因素就将手术排除在治疗方案之外。此外,肺癌治疗不是赌博,对医患双方而言,侥幸心态极不可取。医生一定要秉着对病人如亲人的态度,采取最适当的手术方法,严把手术适应症。在面对高龄肺癌患者需要手术治疗时,要在手术前详细的评估、控制各种合并症风险,制定精细、个体化的手术方案;术后精细管理、毫不放松,同时做到对患者及家属的充分告知,取得他们的完全理解和信任及大力配合,这些都是非常重要的。

患者出院前与陈刚主任(左二)及团队合影
胸外科