关注我们


“难治性心跳骤停+ECPR+外科手术=痊愈出院”,这是一道看似简单的等式,然而,一些极危重心脏病患者却没能看到最后的答案!
周六凌晨4:55,急促的脚步声在心外成人二区病房的走廊上响起,患者林某心跳骤停、抢救迅速展开……
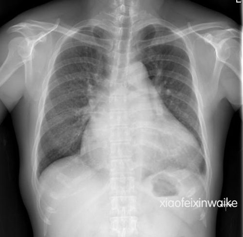
这是一名男性患者,49岁,因反复劳力性呼吸困难14年,加重伴双下肢浮肿1月余入院。心脏超声发现这是一颗早就不堪重负的心脏:风湿性心脏病,联合瓣膜病,主动脉瓣重度狭窄,收缩峰值压差高达94mmHg;二尖瓣重度狭窄,瓣口面积仅为正常人的1/4;三尖瓣返流面积达到了惊人的19.3 cm2;肺动脉收缩压高达119mmHg,更是正常上限的4倍。心胸比例为0.71(图1)。

图1. 患者术前的胸片
胸外心脏按压、气管插管、呼吸机辅助呼吸,转入心外ICU进一步抢救……一切都在有条不紊的进行着。患者一度恢复房颤心律,但是反复室上速、室速,在持续泵入升压药物的情况下血压仅仅维持在60mmHg上下。血气分析显示严重代谢性酸中毒,血乳酸水平甚至超过了仪器测量的上限。这是一例典型的难治性心跳骤停病例!时间一分一秒在流逝,患者复苏的机会也渐渐渺茫。心外科范瑞新主任、肖飞博士、周成斌主任等紧急协商,判断患者通过传统心肺复苏技术难以恢复有效自主循环,立即启动了体外心肺复苏(ECPR)程序,在心外ICU床边经股动、静脉插管,迅速开始了体外膜肺(ECMO)治疗。不到半小时,患者的心律稳定了下来。8小时以后,患者奇迹般的苏醒了过来。ECMO继续辅助48小时以后,患者成功接受了主动脉瓣置换、二尖瓣置换、三尖瓣成形手术。术后继续给予ECMO辅助治疗(图2)。

图2. 患者心脏瓣膜术后继续ECMO治疗
回到心外ICU,陈纯波主任、熊卫平主任、肖营凯主任等团队成员密切监测、悉心调整着患者每一项生命指标。心肌收缩力越来越强!神经系统功能正常!呼吸功能改善,成功脱离呼吸机!一个又一个好消息传来。在整整支持了168个小时以后,患者成功的脱离了ECMO机器辅助。接下来转回普通病房,复查心脏超声提示人工瓣膜功能良好,主动脉瓣跨瓣压差已经降到了20mmHg以下,肺动脉压力也降到了39mmHg。在发生心跳骤停、ECPR抢救成功34天以后,患者最终痊愈出院。
肖飞博士介绍说:这是一个极其罕见又极有价值的临床病例。心跳骤停的患者大多预后不良,死亡率很高。根据美国心脏协会资料显示:医院内发生心跳骤停的患者仅有44%能够恢复自主循环,仅有17%存活出院。心肺复苏(CPR)时间超过30min后能够恢复有效自主循环的患者极少;而院外心跳骤停患者CPR时间一旦超过15min,能存活至出院并且脑功能基本正常的患者甚至不足2%。
由于经济发展及医疗卫生水平参差不齐,我国风湿性心脏瓣膜病患病率远高于欧美国家,尤其南方地区瓣膜病高发。风湿性心脏病、退行性瓣膜病以及先天性二叶主动脉瓣等病因都会导致主动脉瓣重度狭窄,其中合并二尖瓣重度狭窄、重度肺动脉高压的极危重瓣膜病患者非常多见。这将会导致主动脉前向血流进一步减少,发生心跳骤停、猝死等恶性心血管事件的可能性将显著升高。由于左心系统血流梗阻持续存在,传统心肺复苏措施效果不佳,复苏成功率低,利用体外循环技术进行体ECPR是这类难治性心跳骤停患者最后的、唯一有效的治疗手段。尤其像本例患者这样:心跳骤停后应用ECPR技术得以复苏、并且成功接受心脏手术、最终存活出院的临床病例非常罕见。现阶段针对极危重瓣膜病患者ECPR治疗的意义及迫切性尤为突出,本例ECPR成功病例为之积累了宝贵的临床经验。
ECPR一方面能够对患者心肺功能进行持续有效的支持,另一方面也为原发病的治疗创造了条件。对于心源性或者其他可逆性因素引起的难治性心跳骤停的患者,都可以在ECPR的支持下,尽可能早的针对原发病进行治疗。
我院心脏中心现有包括心外科医生、ICU医生、体外循环师和麻醉科医生在内的ECPR专业团队,能够迅速开展ECPR救治。这是应对术前和术后、院内和院外心跳骤停等紧急事件的重要的、有效的措施。
通讯员 肖飞