关注我们


近日,神经外科应用新技术——O臂辅助脑起搏手术精准定位靶点,植入脑起搏器,为一位长年经受困扰的帕金森病患者行脑深部电刺激术治疗,取得良好效果,明显改善患者生活质量。
脑深部电刺激术(DBS)又称为脑起搏器。帕金森病是脑组织发生退行性病变的一种表现,通过脑起搏器持续对脑组织核团靶点进行电刺激,纠正发生的变化,从而达到治疗目的。 DBS手术主要用于帕金森病,肌张力障碍,特发性震颤,癫痫等神经性疾病,以及强迫症,难治性抑郁,神经性厌食等精神类疾病的治疗。
李伯(化名)患帕金森病10余年,手抖、身体僵硬等症状,严重影响他的生活质量。经长期药物治疗,效果不佳。得知我院神经外科有一项治疗帕金森病的新技术——DBS,家人决定试试。
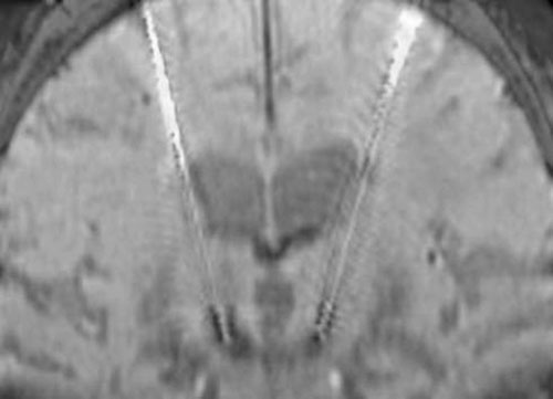
以周东主任为首的神经外科治疗团队,对李伯进行术前详细评估,符合DBS手术标准。手术由神经外科周东主任和秦琨主刀。首先定位好脑内需要刺激的核团靶点,然后通过立体定向头架,从额叶切两个口入路,将刺激电极放置入目标核团,再将电刺激器放入脑内靶点。能否精准的将电极放入脑内的目标位置,是决定该手术成败的关键因素。以往放置电极主要通过立体定向专用头架在MR和CT的帮助下完成,操作比较繁复。目前,神经外科将O臂引入整个手术操作流程,在放置电极的过程中,进一步明确了刺激器电极的位置,也确认了颅内的基本情况,提高了手术精确性和安全性,同时也使手术更为顺畅。

DBS手术非常顺利,手术中按照预选的核团,精准的将电极放入脑内的靶点,同时再用O臂和导航系统进一步证实了电极准确的放置于目标神经核团。

影像系统的发展是神经外科快速发展的基石,O臂术中影像系统可以应用于术前,术中,术后图像,并将术中影像质量带入一个新的水平。O臂的应用使我院神经外科向着精准医学的实施,又向前迈进了一大步,相信会有更多实施DBS手术的患者获益。
文_秦琨、张松山 图_秦琨