关注我们


四月中旬,我院妇科就诊了一例晚期浆液性卵巢癌术后复发病例。病历资料诊断为腹主动脉右旁有一大小约6×4.3cm肿瘤点位,粘连腹主动脉,下腔静脉等大血管,肿瘤压迫右侧肾脏和输尿管,导致积水……这肿瘤能切除吗?
这位患者张女士(化名)曾于2016年做了卵巢癌切除手术。2021年1月,因腹痛在当地医院复查,CT提示腹主动脉右旁有个大小约6.0*4.3cm的肿瘤,累及腰大肌。医生初步判断淋巴结转移可能性大,病变累及腹主动脉,下腔静脉等大血管、压迫右侧输尿管导致右肾积水。
张女士四处求医都被婉拒,几经辗转,来到我院妇科何善阳主任门诊就诊。何主任仔细询问患者病情,做了详细妇科检查,结合PET-CT的结果,认为可以手术切除干净,考虑到病人焦虑的心情,很快为患者安排了住院。
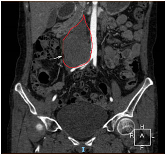
患者的PET-CT检查提示:肿瘤较大,约6×5cm,长在腹主动脉旁、下腔静脉周围,向左包绕肠系膜下动脉,向右压迫右输尿管上段伴,右肾盂稍积液扩张并侵犯腰大肌,向下累及骼内外动脉分叉处,向上达十二指肠水平,覆盖下腔静脉表面。患者糖代谢增高,考虑转移,但病灶较局限,全身其他部位无转移。何善阳主任认为有手术指证。
张女士既往无高血压、糖尿病等基础病史,肝肾功能、凝血功能等均在正常范围,无手术禁忌症,尽管复发病灶的位置邻近大血管,还是有手术机会的,但是肿瘤长在大血管旁,手术台上稍有不慎就可能发生大血管破裂,风险极高。因此,何善阳主任立即组织了妇科卵巢癌MDT团队会诊,共同研究治疗方案。

张女士的盆腹腔血管三维重建
盆腹腔血管三维重建明确病灶与腹主动脉、下腔静脉、输尿管的关系都很密切,尤其与下降静脉的分界欠清,不排除侵犯下腔静脉血管的可能。妇科何善阳主任、肝移植病区巫林伟主任、泌尿外科毕学成主任、麻醉科王越洪主任等共同讨论:恶性肿瘤侵犯大血管的可能性很小,多为外压性改变,但不排除粘连致密,难以分离导致血管破裂。动脉管壁较厚,常常好分离,反而下腔静脉管壁薄,容易破裂,若为小破口,则行血管修补;若破口较大,无法修补,则需要行人工血管置换术,因此切除肿物前要先游离下腔静脉上下方足够位置,必要时阻断血管,完整切除病灶。患者影像学检查提示右肾、输尿管积水,考虑肿瘤压迫引起,术前最好留置输尿管支架(双J管)以防止术中损伤输尿管。专家们认为手术风险大、难度高,手术前要充分备血、手术室做好血管置换的准备、保证麻醉肌松效果、手术中生命体征平稳、手术后转入ICU监护。
手术风险如此高,很多病人和家属都会打退堂鼓,但是张女士及家属仍十分相信何善阳主任团队,要求手术探查。

何主任主任与MDT团队讨论病情 何善阳主任在手术台上
做足了充分的准备,妇科卵巢癌MDT团队于4月25日为张女士施行了手术。术中见腹主动脉右旁一质硬肿物,约6×5×5cm,活动性差,与腹主动脉、下腔静脉、右侧输尿管紧密粘连,累及右侧腰大肌。历经5小时的艰辛,妇科、麻醉科、泌尿外科、肝移植科、手术室等多个学科的通力合作,成功把张女士的血管旁肿瘤完整切除,手术效果评价为R0,基本达到肉眼无残留病灶,没有损伤血管,术中生命体征平稳,术后无需转ICU监护,患者预后好。

手术前病灶,约6*5*5cm
何善阳主任介绍,卵巢癌是妇科常见恶性肿瘤,发病率仅低于宫颈癌和子宫内膜癌,死亡率却在二者之上。因缺乏良好的筛查手段,约70%的病人确诊时已经是晚期,胸腹水、恶病质、盆腹腔或者全身多处转移,治疗棘手。大量的临床研究证实,满意的肿瘤细胞减灭术,可以为晚期、复发性卵巢癌患者带来良好的预后。
自2020年9月,我院妇科卵巢癌MDT团队正式成立以来,以妇科、麻醉科、手术室、普通外科、泌尿外科、ICU、影像医学部等为核心成员的MDT团队为晚期、复发卵巢癌等高难度、高风险手术保驾护航,完成了一个又一个R0手术,创造了一个又一个生命的奇迹。
妇科 梁穗英