关注我们


2021年5月18日,一台历时长达6小时、多学科协力的胸骨下甲状腺肿瘤切除手术在手术间顺利结束,手术取得成功,焦急等待的女儿长舒一气,心里的石头终于落地。
年逾八旬,本该是儿孙满堂、颐养天年之时,何奶奶(化名)却犯了愁:两年多来,颈前逐渐增大的肿物成了何奶奶的“心病”。当地医院穿刺活检提示甲状腺组织,未见异性细胞。可肿物的快速增长严重影响着何奶奶的健康。何奶奶和家人先后辗转多家医院,但因“患者高龄”、“病情复杂”、“手术难度高”,屡次求诊无果。最终,何奶奶慕名来到我院骨肿瘤科门诊就诊,张余主任详细了解情况后,决定收入住院部。
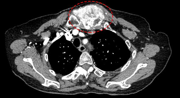
入住骨肿瘤科后,张余主任凭借丰富的临床经验和敏锐的洞察力发现,患者带来的影像资料中胸骨的骨质破坏“不像是好东西“。为了证实这一观点,张余主任邀请我院影像科周正根主任共同探讨此病例。周正根主任从影像专业角度分析,患者胸前肿物考虑为恶性病变,不排除甲状腺来源。张余主任当即决定再次进行穿刺活检,明确肿瘤来源。

(肿瘤巨大严重侵蚀胸骨)
病理结果出来了!正如张余主任所料——“转移性甲状腺滤泡性肿瘤”。
考虑到患者80多岁高龄,手术具有高危风险,张余主任带领的骨肿瘤团队迅速组织了院内多学科会诊(MDT),邀请耳鼻喉头颈外科主任张思毅、肿瘤内科马海清主任、李伟雄主任、影像科周正根主任,共同制定手术方案。周正根主任阅片后,确认患者肿瘤纵横径达7cm,肿瘤巨大,切除范围广泛,且肿瘤邻近心脏、周围大血管及重要神经组织,手术当中应当谨慎操作。马海清主任、李伟雄主任认为患者肿瘤来源于甲状腺,手术当中需一并切除甲状腺组织。此外肿瘤切除后缺损较大,需联合胸外科及烧伤与创面修复科合作实施手术,另外还提前与麻醉科室、ICU科室深入沟通。
手术当日,由张余主任、贲晓松主任、詹建东主任、孙传伟主治医师接力完成手术。

(术中张余主任正切除肿瘤 )
患者颈前切开了一条约18cm长的切口,詹建东主任完整游离并切除甲状腺,这一过程中最关键的的步骤是神经保护,一旦造成神经损伤可能导致患者声音嘶哑、饮水或进食呛咳,最严重的会导致患者呼吸困难死亡。接着展开了胸骨肿瘤切除步骤,胸骨与瘤体紧密相连。无影灯下,超声骨刀在主任手中灵活运转,巨大的胸骨肿物被他精细的解剖下来。
肿瘤近10cm。切除了这么个“大东西”后,烧伤与创面修复科的孙医生上阵。胸大肌被旋转了60°覆盖到了胸骨和部分锁骨切除后的创面处。检查血运、血运良好、缝合、放置引流管一气呵成。手术过程中,我院麻醉医师团队全力保驾护航,及时调整麻醉深度,监视患者血流动力学状态,保证患者术中血流动力学的稳定。术后,为患者围术期平稳过渡,转入我院外科重症监护室进行监护、抗感染、输血、输白蛋白、营养支持等综合治疗,一天后,患者顺利转回骨肿瘤科普通病房。
我院骨肿瘤科、胸外科、耳鼻喉头颈外科、烧伤与创面修复科、麻醉科、ICU科室、骨科护理等团队密切接力配合,一场紧张、复杂的手术顺利结束。目前,患者的情况正积极好转,即将康复出院。

(患者ICU转出后张余主任术后查房)
张余主任介绍,骨肿瘤科十分重视MDT,包括肿瘤在内的重大性疾病以及涉及到多器官、多系统的功能性疾病,建立MDT的服务模式,通过一站式的服务,能够满足患者对不同诊疗专业、方案的合理化选择。
本次病例的成功诊治,是我院各科室MDT诊疗经验的又一积累,张余主任带领骨肿瘤团队积极开展复杂病例、疑难病例的多学科讨论活动,充分提高诊疗质量、为患者明确诊断和最佳诊疗方案,助力患者走向康复、走向新生。
文字:钱鑫、谢居宁 摄影:钱鑫