关注我们


近日,心血管内科成功完成院内首例LACbes左心耳封堵器的临床应用,为三名房颤伴高卒中风险的患者圆满完成左心耳封堵术。手术的成功开展将大大降低卒中风险,为患者带来更好的预后。
房颤,是最常见的房性心律失常。房颤时心房无规律的快速的跳动,为一种室上性快速性心律失常,心房率可达300~600次/分(正常情况为60-100次/分)。我国目前约有1000万房颤患者,其中约有20%-30%的房颤患者会发生缺血性脑卒中,因为房颤会影响正常的心房颤动,使心房失去有效的收缩和舒张,心房泵血功能恶化或者丧失,血液在心房内淤滞,形成血栓。而且,90%的血栓起源于左心耳,而血栓脱落随血流移动至全身不同部位,危害较大即栓子移动到脑血管部位,形成脑卒中,房颤引起的卒中,具有更高的致死率,致残率,复发率。

左心耳封堵术为防止房颤引起的脑卒中的提供一种新的治疗方案。在心血管内科主任谭宁的带领下,与罗建方、薛玉梅、何鹏程、李光等主任一同针对三位房颤患者的病情展开了详细讨论,经过反复探讨,为患者制定了最佳治疗方案。并和患者及家属充分沟通,综合考虑后决定行左心耳封堵术,阻断患者脑卒中血栓的来源。该手术是一种微创手术,导管经大腿血管穿刺进入心脏后精确定位,在左心耳入口处释放一个外表覆有膜的草莓形封堵器,封堵住左心耳,从而消除了左心耳形成血栓的隐患,达到预防脑中风的目的。
三例患者手术主刀的分别是三位心血管内科邓海、方咸宏、董豪坚3位主任。心血管内科团队成功精准定位左心耳封堵器固定盘,在DSA下牵拉封堵盘,固定盘稳定未发生相对位移。左心耳封堵器释放位置良好、固定盘及封堵盘稳定、无残余分流、对周围组织无影响,呈经典“轮胎状”,符合PAST释放标准原则,释放封堵器,完美封堵。

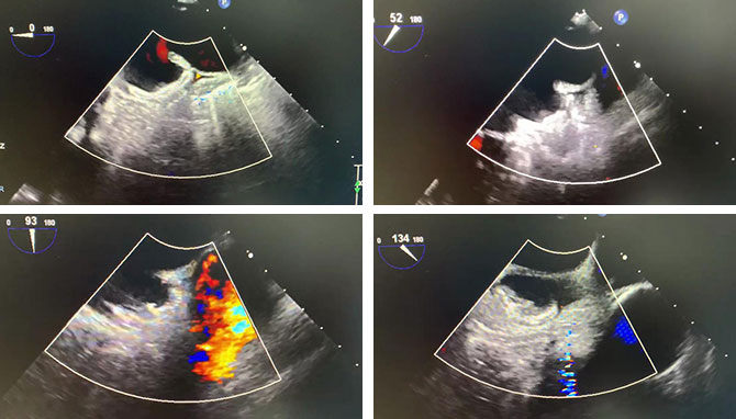
牵拉实验稳定,固定盘未发生相对位移 封堵完全,无残余分流

食道超声TEE下观察各角度无残余分流,封堵盘与心耳开口完美贴合
与药物相比,左心耳封堵术解决了几个问题:
·有效降低致死,致残风险;
·减少药物引起的出血风险;
·摆脱长期服药、定期验血;
·避免胃肠道不良反应;
·不用担心忘记服药;
·不用害怕食物影响药物抗凝作用。
延伸
LACbes封堵器是目前国内自主研发的最新一代封堵器,结合了市面上进口封堵器及国产封堵器的优势,安全性更高,适合不同的心耳结构,让左心耳封堵手术成功率更高。此外,LACbes封堵器锚定盘选材相对柔软,对减少远期心包有一定帮助,操作更加简便,缩短临床医生学习曲线。可供选择的尺寸更多,为更多高卒中风险,高出血风险且不耐受抗凝治疗的房颤患者带来福音。

董豪坚