关注我们


2022年2月13日,由我院器官移植科主任巫林伟教授带领的肝移植团队,与麻醉、ICU、护理等团队强强合作,成功为李女士(化名)进行了复杂巨大多囊肝肝移植手术,切除了重达13.6公斤的病肝(约为正常肝脏的11倍),移植到李女士身上的“新”肝已恢复功能,身患多囊肝14年之久的李女士如释重负,重获新生。这是我院肝移植团队继“镜面人”肝移植后,实施的又一例高难度移植手术,为多囊肝患者的救治提供新的选择。

患者术前腹部 巨大多囊肝
病肝充斥腹腔,饱受折磨14年
多囊肝是一种罕见的良性常染色体显性遗传病,早期患者常伴有腹胀、食欲不振等,随着疾病的进展,肝脏的体积逐渐增大,可出现腹痛、黄疸等症状及腹部包块,最终可引发肝功能衰竭并导致死亡。
41岁的李女士患多囊肝已有14年之久,期间辗转各地治疗,饱受病痛折磨。当李女士来到我院时,整个人已瘦骨嶙峋,巨大膨隆的肚子宛若怀胎十月,与体型极不相称,密集的囊包在肚子上清晰可见。由于巨大的多囊肝几乎占据了她腹部的全部空间,胸腹腔内脏器官受压,导致进食困难、腹压升高,腹腔脏器均出现不同程度的移位,日常活动受到严重影响,上下楼梯都变得非常困难。
“李女士目前的病情,器官移植是唯一的希望。”广东省人民医院器官移植科主任巫林伟教授对患者进行详细检查及评估后如是说。

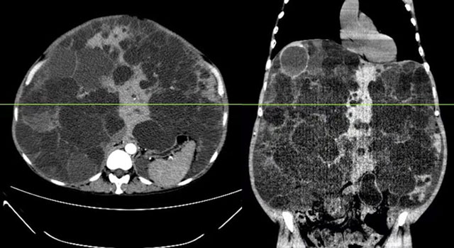
影像学可见巨大多囊肝占据腹腔
团队协助攻关,患者重获新生
此例多囊肝患者,肝脏重量约为正常肝脏的11倍,进行肝移植手术非常复杂和困难。一是手术空间狭小、肝门显露困难;二是巨大病肝切除后有效循环容量丢失;三是术后巨大肝脏压迫的解除导致循环容量相对不足,还有血压波动及血流灌注不足引发的急性肾损伤等种种难题,要做好这个手术,必须“过关斩将”。
第一关——术前。李女士来到我院时身体状况已经很差,要制定周密的手术方案及围手术期管理方案。
第二关——术中。巨大的病肝基本占据整个腹腔,大大增加了手术难度,要充分考虑和应对术中可能出现的各种问题。
第三关——术后。患者术前身体状况差,术后又需使用大量免疫抑制剂,干扰正常的免疫应答,使机体抗感染力下降,极易造成严重后果。
面对重重困难,巫林伟教授带领的肝移植团队,与麻醉、ICU、护理等团队强强合作,制定了周密严谨的治疗方案,并于2022年2月13日顺利进行了肝移植手术。

患者术后恢复正常体型
术后,在医护人员的精心照料下,患者渡过了危险期,目前已恢复正常生活。“感觉轻松了许多,整个人如获新生。”李女士看着自己平坦的肚子如是说。
图文/夏武政、王泽康、刘诗琳、朱广浩、赖冠志