关注我们


一根细针,经皮穿刺从胆道一次清除胆总管所有结石。
近日,肝胆外科完成医院首例5毫米单孔去除胆总管多发结石微创术。
陈叔(化名)因胆囊结石、胆总管结石在当地腹腔镜手术失败,胆总管仍残留较多结石,求治于我院肝胆外科。金浩生主任组织全科医生讨论,一致认为可以实施经皮经肝胆道镜碎石取石术(PTCSL)。
PTCSL是比腹腔镜胆总管切开取石术更加微创的治疗方法,手术时需要使用细针在结石所在部位的皮肤穿刺,到达目标胆管后,对胆管进行扩张,再经胆道镜将结石取出。因是首次开展,所以科室讨论决定手术由王慧玲副主任医师负责。王慧玲副主任医师团队马上对患者的病情进行了全面评估,包括胆总管残余结石的分布,身体各器官系统指标的检测、目标穿刺胆管的定位、穿刺入路和胆道镜取石时机的选择等。
手术由王慧玲副主任医师主刀,廖亚帝博士协助,金浩生主任、区应亮主任台下指导。患者经过B超引导下细针穿刺、窦道扩张、胆道镜取石三个主要步骤,通过一个5mm的创口,一次性清除了胆总管所有结石。

经过王慧玲医疗、方丹护士长护理团队的精心治疗和护理,患者术后当天进食,下地行走,术后第3天康复出院,患者重新恢复到了良好的身体状态,感谢广东省人民医院让他重获新生。

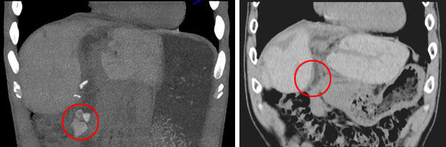
术前:胆总管多发结石 术后:结石已去除
肝胆管结石结石残留率及复发率高,常需要接受多次手术干预,反复多次手术给患者造成极大痛苦。PTCSL具有创伤小、恢复快,可以避免反复开刀手术,给胆道结石患者带来了福音。
PTCSL的适应症包括:1)多次开腹手术后结石复发的患者;2)因年龄或基础疾病等原因无法耐受开腹手术的患者;3)因有腹部手术史,无意愿再行开腹手术的;4)其他手术后,胆管残留结石的。
首例PTCSL的顺利开展,体现了肝胆外科在B超穿刺定位水平、微创取石技术等综合能力的进步。目前肝胆外科充分利用普通外科获批国家临床重点专科建设项目,以及肝胆胰精准诊疗中心成立的良好契机,以“国考”为工作重点,全科团结进取,力争潮头,为医院高质量发展做出新的贡献。
廖亚帝、方丹、王慧玲