关注我们


13岁的男孩小赵是清远市佛冈县的一名中学生,聪明、可爱、成绩优异,幼年诊断为先天性脊柱畸形,在6至8岁时于省内某市医院先后行两次脊柱侧凸矫形术。由于当时技术局限,仅仅进行的畸形局部固定,而未对主要致病的半椎体进行切除,仍保留了完整的骨化中心。待孩子到了青春期快速发育的阶段,身体偏斜严重、侧凸进展迅速。
孩子父母走访多地寻医问药,恰逢脊柱外科陈崇博士在佛冈县人民医院帮扶,来到陈崇博士门诊寻求帮助。陈崇博士等详细分析了病情,主要的技术难点有三,其一是从影像学资料来看,患者是复杂的先天性脊柱畸形,不仅有多个半椎体,同时还有不对称发育的蝴蝶椎、肋骨畸形等;其二,已发展至严重的冠状面及矢状面的失平衡;其三,翻修手术,尤其是脊柱畸形的翻修手术,术中解剖结构不清晰,往往充满了许多不确定性,且原有的半椎体已经生长发育成熟,体积较大,切除风险较高。

佛冈县人民医院作为广东省人民医院帮扶医院,在疑难疾病的会诊及转诊方面有巨大优势,经过与广东省人民医院脊柱外科昌耘冰、郑晓青主任团队商讨后,同意尽早转诊收治。
术前通过广东省人民医院三维打印实验平台,制定个体化治疗方案,发现患者已经出现部分腰骶及上胸段代偿性弯曲,如不及时纠正,畸形会继续加重以及神经功能持续恶化,手术矫形是当前唯一的治疗方式。
经过充分、细致的准备,手术的每个细节都详尽考虑。手术由昌耘冰、郑晓青教授担任主刀,陈崇博士代表佛冈县人民医院骨科协同参与,王良泽医师采用多模式的术中神经电生理监护手段,极大保障手术操作安全,麻醉科团队全力保驾护航。

为了保证孩子的生活质量、腰椎的活动度且又要达到良好的矫形效果,这是一个巨大挑战及考验。手术方案设计为拆除原有的两处脊柱内固定,切除致病的“恶性”半椎体,充分松解,再后路O臂导航下进行椎弓根螺钉固定矫形,对两处内固定中间地带,不进行融合、固定。
术后,在脊柱外科快速康复外科治疗团队的努力下,小男孩在术后第2日可自行下地行走,逐步恢复正常生活,并积极进行康复锻炼。

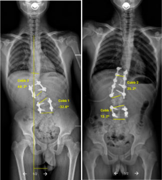
术前 术后
脊柱侧弯手术被誉为脊柱外科“皇冠上的明珠”,对术者及团队的经验及技术要求非常高。脊柱外科通过多学科一体化治疗模式,积极筹建了MDT团队,以多学科合作团队为基础,涵盖影像、麻醉、手术、护理、加速康复、ICU、脊髓神经电生理监测、3D打印实验室、计算机导航及心理干预治疗等。
先天性脊柱侧凸(CS)是胚胎期椎体发育异常导致的脊柱三维畸形,2018年,国家卫生健康委员会等五个部门联合制定、发布的《第一批罕见病目录》,CS赫然在列。《健康中国2030规划纲要》指引下,从2019年开始,国家卫健委和教育系统制定并开展了中小学“骨健康促进”行动,将脊柱侧弯纳入青少年重点筛查和监测的疾病。每年6月是国际脊柱侧弯学会(SRS)设立的“脊柱侧弯唤醒月”。调查显示,目前我国中小学脊柱侧弯的人数预计超过500万,并且每年以30万人的速度呈现快速增长的趋势。从2019年开始,国家卫健委在全国学生常见病和健康影响因素监测中,已将脊柱弯曲异常作为一个监测指标,将脊柱侧弯纳入每学年或新生入学体检内容、筛查结果还将纳入学生健康档案。
陈崇