关注我们


30岁的小明(化名),是一名来自广东的聋哑青年,自幼就发现胸前区凹陷,因为家庭困难,一直未能治疗。随着生长发育,小明胸前的小小凹陷逐渐长成一个深深的大坑。畸形胸部对小明的身体和心理造成了巨大的影响。身体上,小明身形高瘦,活动耐量差,稍事运动,即感胸闷气促,甚至呼吸困难。心理上,小明深感自卑,不敢与人接触,体形上也出现了含胸驼背,脊柱侧弯等问题。
为此,在家人的陪伴下,小明来到了我院胸外科谢亮副主任医师的门诊就诊。谢亮医师也对面前这个大龄小伙的严重程度感到震惊。“大龄、严重畸形、骨质坚硬”,小伙全部“拥有”,无疑是对手术矫形的巨大挑战。

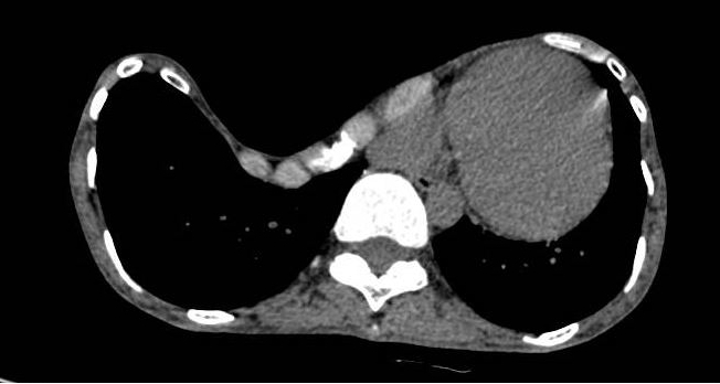
入院后,小明的检查结果比预想的更加严重。胸部CT可见患者的前胸壁已经接近脊柱水平,也就是俗话说的“前胸贴后背“,报告显示:扁平胸合并漏斗胸,Haller指数达到了惊人的25.0。肺功能显示:极重度限制性通气功能障碍。心脏超声可见:轻度三尖瓣返流。心电图可见:不完全右束支阻滞。凹陷的胸壁已经严重压迫到了心肺,导致了心肺功能的异常,若不手术治疗,对小明造成影响会越来越严重。

既往针对这种严重程度的患者,手术方式多采用水平放置3根钢板,这种方式手术创伤较大,风险及费用更高,且存在胸壁局部矫形欠佳的不足。以乔贵宾主任医师、陈刚主任医师、贲晓松主任医师主持的全科术前讨论,制定了缜密的术前规划设计,决定为患者施行微创NUSS术,“交叉”放置两条钢板。手术中,谢亮副主任医师团队通过胸侧壁4个隐蔽的1.5cm小切口,历经2小时,顺利在小明胸腔放置了交叉钢板,畸形得到了满意的矫正。在医护工作人员的努力及小明的配合下,最终康复出院。出院前,小明手写到“感谢省医,感谢胸外科,让我挺胸做人!”

漏斗胸是最常见的先天性胸壁畸形,是胸骨、肋软骨及一部分肋骨向脊柱凹陷形成漏斗状的一种胸壁畸形,可压迫心、肺,直接影响患者的心肺功能及生长发育。其发病率约为1/(300~400),男女比例约4:1。漏斗胸与缺钙无关,与佝偻病是两种完全不同的疾病。部分家长误以为可通过补充营养等方式治疗漏斗胸。此外,漏斗胸常合并脊柱侧弯、背突、凸肚、颈肩部前冲、双肩下垂等体态异常,严重影响青少年的心理健康和精神面貌,造成患者自卑、胆怯、社交障碍等严重心理问题和精神负担。因此,家长们也要提高对漏斗胸的认识,定期检查子女的前胸外观,及时发现,早期就诊,使得漏斗胸获得及时的治疗,不要延误了最佳治疗时机或者错过了保守治疗(非手术治疗)的机会。
目前,我院胸外科已常规开展漏斗胸、鸡胸的全程一体化治疗。对于幼童、轻症患者,可采取非手术治疗(吸盘、支架等,可以避免手术),全程随访跟进;对于非手术治疗疗效欠佳以及畸形程度较重的患者,采用胸腔镜微创手术治疗。至今,胸外科已成功地施行了数千例微创NUSS及反NUSS矫治术,积累了丰富的临床及手术经验。特别是对复杂性、不对称性、复发性、极重度及成人漏斗胸、鸡胸患者,均取得良好的矫治效果。结合科室特有的PRO (Patient Reported Outcome,患者报告结局) 随访系统,全程接受专业医师的随访及康复指导,为患者的顺利康复保驾护航。
胸外科不断改进漏斗胸的手术方法和技巧,针对漏斗胸中“凹陷面积大、凹陷深、大龄、骨质坚硬、扁平胸、尖深凹陷、短胸骨、肋弓外翻、复发”等难治型患者,施行微创NUSS手术,放置“交叉钢板”,取得了满意的矫形效果。放置交叉钢板,切口位于侧胸壁,前胸壁无切口,更加美观;两条钢板交叉放置,支撑强而有力,固定牢靠稳固,外形更加饱满,极大的减少了钢板移位而复发的概率。
周天骏
专家介绍

谢亮 副主任医师
广东省人民医院胸外科
熟练掌握胸外科各种疾病的诊治,对肺癌、食管癌、纵隔肿瘤等胸部肿瘤的规范化治疗和以手术为主的综合治疗积累了丰富的经验。擅长肺癌、食道癌、纵隔肿瘤、漏斗胸、重症肌无力、肺大疱、手汗症等疾病的胸腔镜微创手术及开胸手术治疗。尤其在漏斗胸、鸡胸的微创手术,手汗症,纵隔镜手术和小儿胸外科诊疗等方面深有体会。
学术任职:
中国医师协会胸外科分会第一届青年委员会委员
中国医师协会胸外科分会手汗症专家组委员
广东省医学会胸外科学分会第二届青年委员会副主任委员
广东省医师协会胸外科医师分会胸壁疾病专业组组长
广东省胸部疾病学会儿童胸部外科疾病专业委员会常委
广东省精准医学应用学会肿瘤综合治疗分会副主任委员
广东省药学会胸外科专家委员会常委
广东省医师协会胸外科医师分会青年委员会委员
广东省中西医结合学会微创外科专业委员会胸外科分会常委
广东省胸部肿瘤防治研究会机器人与微创外科专业委员会委员
吴阶平医学基金会交感神经外科专业委员会委员
国际肺癌研究协会(IASLC)会员
门诊时间:
每周二上午 东川肺结节漏斗胸手汗症门诊 369室
每周二下午 胸外科门诊 429室