关注我们


2024年3月4日成为一个重要的日子,首例经“国产新型房间隔造孔支架系统”成功治疗的危重肺动脉高压心力衰竭注册临床研究患者,从广东省人民医院心内科二病区顺利康复出院。该系统由广东省人民医院心血管内科作为组长牵头单位、国内医疗科技企业申办研发,具有全球原创技术和多项创新专利,将为肺动脉高压终末期心力衰竭患者带来治疗新希望。
患者为29岁女性,诊断特发性肺动脉高压4年余,病情进展快,经充分内科规范化药物联合、足量、足疗程治疗半年后,心力衰竭仍持续进展,已具备肺移植/心肺联合移植手术指征。但患者和家属对器官移植存在较多顾虑而来我院心内科求治,门诊以“特发性肺动脉高压、心功能IV级、心力衰竭”收入院。
经广东省人民医院心内科各专业团队的团结协作,患者同意并接受了经皮房间隔造孔支架系统植入术,成为首例使用该类新型器械治疗特发性肺动脉高压终末期心力衰竭的患者。术后在心脏CCU、心内科二病区、心脏康复中心、心脏超声专业组、放射科等多学科专业的医护团队的精心管理与细致呵护下,患者心衰症状及活动耐量较术前明显好转,复查超声心动图提示左心房室舒张末容积,左心房室收缩舒张功能等均较术前明显改善。患者于2024年3月4日顺利出院。

患者出院前超声心动图,图中示意房间隔造孔支架系统及右向左分流束

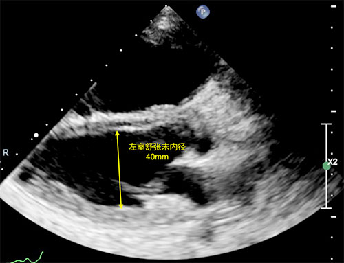
患者出院前超声心动图,示左室舒张末内径恢复至40mm
该患者的出院标志着首次使用“国产新型房间隔造孔支架系统”治疗危重肺动脉高压合并持续进展性心力衰竭患者的探索获得巨大成功,并初步验证了该方法的安全性、有效性和创新优势,也标志着“国产新型房间隔造孔支架系统”治疗肺动脉高压心力衰竭”全国多中心注册临床试验进入新阶段。

心内科荆志成主任、CCU薛凌主任、莫与京副主任、谢秀英医师、王利婷博士、方俊涛博士,二病区方咸宏主任、赖迪声博士、朱熙杰博士、张思瑾博士、和罗思妮护士长,心脏康复中心马欢主任,心脏超声专业组张莹主任、郑智超主任医师,总住院医师余苑博士和林炜东博士等医护人员与患者及其家属欢聚一堂,庆祝患者胜利康复出院。
肺动脉高压是以肺血管阻力进行性升高,导致右心扩大压迫左心,进而引起左心有效搏出量下降而致残致死的恶性心血管疾病,目前针对肺动脉高压终末期心力衰竭缺乏令人满意的治疗手段。而经皮房间隔造瘘及房间隔支架系统成为肺动脉高压终末期心力衰竭的有前景、令人期待的治疗手段。
广东省人民医院心血管内科作为组长单位牵头进行临床研究的“国产新型房间隔造孔支架系统”具有全球原创技术和多项创新专利:首创一体化差异化覆膜防止造孔支架中心分流区内皮化,于边缘非分流区促进内皮化,预期防止分流孔闭塞、降低非分流区血栓形成风险;内卷式立体构型使支架边缘与房间隔达到无损夹持的效果;支架整体采用镍钛合金一体雕刻,腰部支撑力强,可减少分流孔径损失;可控释放回收设计,可满足支架术中重复回收释放,安全性更好;多种型号规格,可根据患者的解剖和血流动力学特点进行个性化匹配,以达到最佳的临床效果。
本例使用“国产新型房间隔造孔支架系统”治疗的患者达到预期手术效果。顺利康复出院初步验证了该房间隔造孔支架及输送系统的安全性和有效性。广东省人民医院心内科研究团队在救治这例患者过程中积累了宝贵一手资料和丰富的诊治康复经验,为“国产新型房间隔造孔支架系统”后续全国多中心临床试验的开展奠定了坚实的基础,并将使越来越多的患者得到更多临床获益。“广东经验”将逐渐向国内外推广示范,改变这类患者救治棘手的困境。
文:朱熙杰,图:王川廷