关注我们


近日,广东省人民医院血管外科王劲松主任团队联合多学科,采用原位三开窗技术,在体外循环支持下,成功为一名曾经行冠脉搭桥手术、合并多种疾病、复杂性主动脉弓动脉瘤患者,进行动脉瘤腔内修复手术,挽救其生命,展现了省医心血管精湛的技术实力。
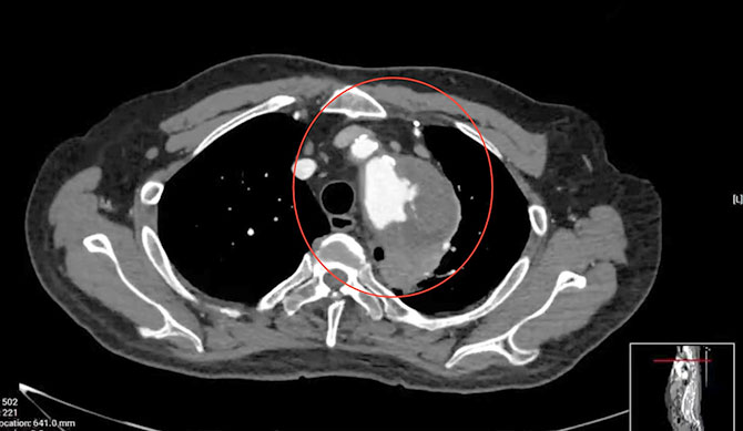
68岁的钟先生(化名),在一年前发现主动脉弓部动脉瘤,未予重视,直到数月前因瘤体增大压迫左侧喉返神经出现声嘶,半月前咳血丝痰,在外院行CTA检查提示主动脉弓动脉宽约60mm,才前往我院血管外科王劲松主任门诊就诊,拟“胸主动脉瘤,主动脉弓动脉瘤”收治入院。钟先生的瘤体巨大,濒临破裂,一旦破裂出血容易造成出血性休克,将会有生命危险。钟先生合并有高血压病史、冠心病史、糖尿病史,2011年曾行冠脉搭桥手术。心功能不佳,加上主动脉弓病变累及分支动脉(无名动脉、左颈总动脉、左锁骨下动脉),病变复杂,治疗难度较大。钟先生入院后,王劲松主任、张朝晖医生、赵成磊医生组成医疗团队,立即为钟先生完善相关检查,予降压、降脂等对症处理,避免瘤体进一步扩大,降低出血风险。同时,联合体外循环周成斌主任医师、心外科李欣主任医师、麻醉科于冬男主任医师、放射科刘辉主任医师等进行多学科诊疗,制定微创主动脉腔内修复治疗方案。

患者主动脉弓动脉瘤体巨大,濒临破裂

患者主动脉弓动脉瘤累及多个分支动脉
患者主动脉弓动脉瘤巨大,且累及多个分支动脉。主动脉腔内修复术(TEVAR)结合“烟囱”(平行支架技术)、“分支支架”、“原位开窗”等技术,均是微创手术治疗途径。然而“烟囱”技术容易产生内漏,不适合累及弓上多个分支血管的主动脉病变;“分支支架”“原位开窗”多在临床试验中。
多学科团队在放射科认真分析图像并讨论手术方案,最终决定采用原位三开窗技术为患者进行主动脉腔内修复术,即在体内主体支架上对准分支动脉开口处,采用针刺或激光等技术开孔,再球囊扩张,支架植入,重建无名动脉、左颈总动脉、左锁骨下动脉分支动脉开口,以保留弓上分支血管的血供,维持脑部足够供血,防止脑梗塞发生。
经与患者、家属充分沟通,于5月17日为患者实施胸主动脉瘤覆膜支架腔内隔绝术+主动脉弓三分支原位开窗支架置入术。但因患者曾行冠脉搭桥术,术中保护桥血管血流,保障心脏血供,防止心脏缺血成为手术的难点。术中多学科默契配合,心外科指导冠脉桥血管定位,体循保障冠脉搭桥血管和脑部血管充分灌注,麻醉严密监控心脏和脑部功能配合,血管外科实施体内主动脉支架原位三开窗技术。手术成功,DSA造影提示:主动脉支架显影良好,贴壁正常,无名动脉、左颈总动脉、左锁骨下动脉支架通畅,未见支架内漏、移位,左锁骨下动脉桥血管通畅。术后经ICU严密观察心功能和神经体征,平稳度过围手术期,2天后顺利转回血管外科病房。经医护团队精心调整心功能,患者术后恢复良好并顺利出院。

手术后患者主动脉弓上分支血管血供良好

患者恢复良好顺利出院,与治疗团队合影
此例主动脉弓三分支原位开窗技术的顺利实施,体现我院在治疗主动脉弓相关病变的治疗复杂疑难病例强大团队合作能力。
血管外科