关注我们


2024年12月1日,19岁的少女小青(化名)遭遇了生命中最严重的一场意外。当晚,她骑电动车与路旁的铲车相撞,铲车的铲子重重击中了她的颈部。突如其来的重创让小青感到剧烈疼痛,无法言语,甚至呼吸困难。120紧急将她送往广东省人民医院河源医院(下称“河源医院”),当地医院实施了叶克膜(V-V ECMO)技术延续呼吸,为生命赢得宝贵时间。200公里外,广东省人民医院医疗救治团队已整装待发,准备迎接这台气管修复的超高难度手术。
生死时速:ECMO技术创造生命奇迹
小青被紧急送往广东省人民医院河源医院,诊断为颈部气管完全离断,肺功能无法正常运作,生命岌岌可危。在关键时刻,河源医院团队迅速为她实施了叶克膜(V-V ECMO)技术。这项技术在肺部暂时丧失呼吸功能时,通过人工肺替代氧气交换,成功为后续救治赢得了宝贵时间。
然而,ECMO只是暂时的生命支持。要彻底挽救小青,必须尽快修复气管,恢复肺通气功能。河源医院通过“五级”(省-市-县-镇-村)联动双向转诊通道,火速安排救护车将她转运至上级广东省人民医院,开始与死神赛跑的新阶段。
200公里外的广东省人民医院医疗救治团队,在转运车启动的时刻,已通过远程沟通全面了解小青情况,急诊ICU江稳强主任迅速组织大会诊,集结耳鼻喉头颈外科、胸外科、呼吸科、影像科、整形科、麻醉科、体外循环科等相关多学科专家,制定了详细的救治方案,全面迎接这台气管修复的超高难度手术。
多学科协作:决战手术台
经过对患者的病情进行了全面、系统的梳理和讨论,多学科专家们一致认为,患者虽然有ECMO技术的维持,但必须尽快的手术探查,修复气管,清除肺内积血,使肺部复张,重新发挥呼吸功能。讨论决定由耳鼻咽喉头颈外科主导手术,胸外科,麻醉科、呼吸科协助,为手术保驾护航,手术后转回急诊重症监护室进一步治疗。
手术由耳鼻喉头颈外科罗小宁主任和胸外科周海榆主任共同完成。术中探查发现小青的颈部气管在甲状腺峡部第三气管环以下完全离断,虽然有局部的小缺损,但气管断端还算整齐,离断气管的下端已经回缩到胸廓内,气管内大量积血。清除积血后,将上下气管断端重新对接,并采用肌瓣覆盖缝合加强结构。手术过程紧张而顺利,成功重建了小青的气管。

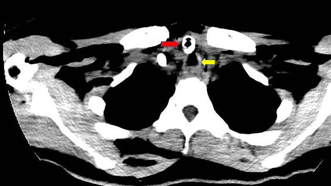
术前CT片红箭头为气管插管;黄箭头为断裂气管下段(位于插管后方)

手术团队:右起罗小宁、彭雅琪、周海榆、邱楚红
重生之路:细致护理与康复希望
手术仅是成功的第一步。术后,小青面临吻合口瘘、狭窄和肺部及伤口感染等风险,但在急诊ICU江稳强主任团队的精心治疗下,患者恢复顺利,病情逐步好转。一周后,她顺利拔除气管插管,终于可以自主呼吸。这一刻,对经历重创的小青而言,无疑是新生的开始。
目前,小青已返回当地医院进行康复治疗,在后续的随访中,小青已经能下地行走,生活逐渐回归正轨。虽然进食时偶有呛咳,但随着康复的深入,她将迎来完全恢复的希望。
医者担当:多学科综合救治的典范
罗小宁主任表示,此次成功抢救充分展现了广东省人民医院的急救水平和多学科协作能力。他介绍到,首先,广东省人民医院河源医院在气管离断、肺无法呼吸的极端情况下,成功实施叶克膜(ECMO)技术,为患者争取到生命的时间,是救治成功的关键。第二,从急诊到手术,再到术后监护,耳鼻喉科、胸外科、重症监护室、呼吸科等科室紧密配合,充分体现了省医在处理复杂危重病例上多学科协作的综合实力。最后,还在于医者“专业与责任”的初心——耳鼻咽喉头颈外科团队在学科带头人张思毅主任的带领下,一向有勇于挑战、及时果断决策、敢于承担责任的作风,为成功挽救患者生命奠定了基础。
对于19岁的小青来说,这场灾难无疑是生命中最难熬的一段经历。但在广东省人民医院的全力救治下,她重新点燃了生命的希望。花季的青春,不应被困厄打倒,而应充满希望与阳光!
彭雅琪、罗小宁