关注我们


近日,我院胸外科联手心外科、骨科,摘除一罕见的后纵隔巨大肿瘤,患儿近期康复出院。
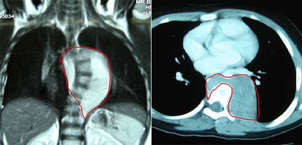
年仅8岁的嘉嘉无意间被父母发现脊柱侧弯畸形,经CT检查发现后纵隔长了一个大小约10cm×7.5cm的肿瘤,形状像个大萝卜,紧贴并包绕降主动脉、胸椎、椎间孔和后胸壁并跨过脊柱对侧,并且从降主动脉内分出多支肿瘤滋养血管。小孩子自己没什么感觉,倒是吓坏了嘉嘉父母。辗转就诊省内多家知名大医院,均因手术风险大,担心肿瘤如果侵犯降主动脉无法彻底切除或导致致命的大出血而不能收入院手术治疗。嘉嘉父母通过熟人、朋友和网络四处查询打听,最终了解到我院胸外科是国家临床重点专科,在治疗胸腔中肿瘤有丰富经验时,抱者一丝希望带着嘉嘉来到我院胸外科就诊。该科主任陈刚接诊患儿后,认真阅片、详细询问检查患儿后告知其父母,如果要彻底切除肿瘤,手术难度非常大、风险很高,但不切除肿瘤嘉嘉的病情会越来越重,而且脊柱侧弯也会继续加重。
针对嘉嘉的特殊病情,胸外科术前经过反复讨论,认为如果是恶性肿瘤,可采取手术外的其他综合治疗手段,但如果是良性肿瘤,就必须争取啃下这块“硬骨头”。在做好充分的术前准备后,决定为小嘉嘉进行手术治疗,术中肿瘤活检病理为“节细胞神经瘤”,这是一种比较罕见的交感神经来源的良性肿瘤,手术切除是首选治疗。手术按照术前制定的计划稳步实施,由胸外科、心外科和骨科的专家联合主刀。

红色区域的巨大肿瘤紧贴并包绕胸椎
在麻醉科的紧密配合下,多名专家轮番上阵。胸外科医生先将肿瘤从后胸壁和脊柱表面分开;心外科医生事先在肿瘤上下方的降主动脉上各置一道阻断带,在麻醉科适当降低动脉血压后,然后紧贴降主动脉壁仔细锐性分离,遇到有胸主动脉壁发出的肿瘤滋养血管出血迅速阻断降主动脉,缝合出血点。手术难度非常大,每一步骤都需谨慎,最终有惊无险的将肿瘤从胸主动脉表面分离;最后再由骨科医生一点一点将伸进椎间孔里的肿瘤组织清除,手术历经3个多小时顺利完成,术中出血不到200ml。
据陈刚主任介绍,节细胞神经瘤是一种罕见的良性神经源性肿瘤,起源于交感神经系统,临床症状不典型,术前诊断较为困难。该疾病多见于儿童和青少年,肿瘤沿周围器官间隙呈嵌入性生长,邻近大血管被包绕或受压移位是肿瘤的特征性表现,文献记载节细胞神经瘤可合并脊柱侧弯。如果肿瘤包绕重要血管神经等重要组织,手术切除难度极大,该例手术成功完成再次展现了我院多学科联合诊治疑难复杂疾病的优势和强大实力。
文、图_胸外科