关注我们


近日,我院呼吸科三区运用气道介入技术成功治愈两位“难取性”支气管异物患者。这两位患者均曾经我省其他三甲医院就诊,然而可惜的是,均无法取出异物。为此,两位患者慕名来到我院就诊,呼吸三区综合运用气道介入治疗技术,成功取出了两位患者的支气管异物,避免了开胸手术。
支气管异物一般来说并不难取出,但是若异物嵌顿在支气管或停留时间长,造成局部黏膜充血、水肿,组织坏死,肉芽组织增生,导致气道良性狭窄,此类异物取出难度增大,甚至需要开胸处理。遇到这种情况,需考验呼吸科医师的动手能力及操作技巧,如何合理综合运用现有微创手段,化难为易。
病例一:小青是一位青年男性,近10多年来常常患有肺炎,近期检查才发现是幼时支气管异物误入气道所引起的并发症。若支气管异物不取出,肺部感染仍会反复发作。然而由于异物在气道时间太长,不断刺激支气管疤痕形成,不仅导致异物所在支气管明显狭窄,而且异物已被周围组织深深包埋,异物取出难度极大,且容易出血或损伤气道(图1)。外院曾尝支气管镜检查,但未能取出异物。为此,小青转至我院就诊。呼吸科高兴林主任、吴健主任,经过认真分析,决定综合采用气道介入治疗技术来钳取异物。两位主刀医生先用高频电刀扩大疤痕狭窄的支气管,再小心烧灼分离肉芽组织,使异物处于游离状态,最后小心地将异物取出。原来是小青幼时咬笔时不慎误吸笔帽(图2),由于在体内滞留时间太长,已经明显变形、碎裂。由于精心准备及严谨操作,介入手术过程顺利,无大出血及其他严重不良反应。复查胸片及支气管镜,未见异物残留。经治疗后,小青痊愈出院。

图1:头所指为异物,已经被周围组织包埋

图2:异物滞留时间长,已经变形、碎裂
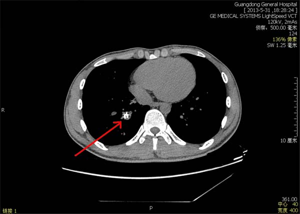
病例二:老赵1月前拔牙时不小心将金属假牙(图3)误吸入气道,后来出现反复咳嗽、咳痰、咯血,诊断为气道异物合并阻塞性肺炎。患者也曾在外院行支气管镜检查,但因异物相对较大且嵌入支气管、肉芽形成等原因,未能取出。转至我院后,呼吸科医师同样综合运用气道介入技术成功取出。

图3:金属假牙(约0.5cm*0.5cm*1.5cm)可见其跟部锐利,嵌入气道导致取出难度增大
两例支气管异物取出术均在微创下进行,不仅安全、有效,而且痛苦小,费用低。
支气管异物一般多见于儿童,但成人并非罕见,成人出现支气管异物一般多见于以下情况:在说话或大笑时口内含有食品或物品,不经意间吸入气管;全麻或昏迷患者行气管插管时可能将松动牙齿或义齿送入气管;醉酒时呕吐物清除不及时,也可吸入气管内;精神病病人或企图自杀者等等。
若异物进入气道,患者一般有以下表现:剧烈呛咳,面红耳赤,并有憋气、呼吸不畅等症状;若异物较大,阻塞气管,可致窒息,此种情况危险性较大。若怀疑或已经出现气道异物,无需惊慌,但须及时到专科就诊,因为气道异物若不及时取出,不但会增加以后取出难度,并容易导致支气管狭窄、反复阻塞性肺炎、肺不张、毁损肺和呼吸困难等并发症。
气道异物的治疗一般有外科手术治疗和支气管镜下治疗两大类方法。外科手术创伤大,风险高,费用贵,需要全麻,一般用于多次支气管镜治疗无效的难取性异物。相比之下,支气管镜异物钳出术具有痛苦小,安全性好,成功率高,费用低等优点,一般作为气道异物的首选。以往,支气管镜下治疗气道异物只有运用“异物钳”这一单一手段,若“异物钳”不能取出异物,外科手术大多不能避免。随着支气管介入技术的不断发展,支气管镜下其他治疗手段,如高频电刀、冷冻技术、球囊扩张等也可用于治疗气道异物:高频电刀可以烧灼异物周围肉芽,松解异物;冷冻探头可与异物一起冻住连成一体,从而将多个小异物一起取出;球囊可以扩张狭窄气道,有利异物取出。这种结合多项支气管镜下治疗手段的气道综合技术被越来越多的用于治疗难取异物,从而避免开胸手术,其同样具有耐受程度好,安全有效,费用低,并发症少等优点。
多年以来,我院呼吸科气道介入诊疗水平一直在国内处理领先位置,在高兴林主任、陈正贤主任的带领下,我科广泛开展多种介入手术,其中内科肺减容术、气道内超声、内科胸腔镜、支架置入、球囊扩张、激光消融技术都处于国内领先地位,成功解决多种临床疑难问题。
文、图_呼吸科