关注我们


近日,耳鼻咽喉科邱前辉主任会诊一个特殊病例。从一进病房,邱主任就发现这名女性患者一直抱着头蜷缩在病床上,表情痛苦。详细了解病情后得知,该患者58岁,4个月前出现头痛,没有发热、无肢体乏力等明显诱因,主要症状为右侧颞部胀痛,呈持续性,并逐渐加重,2个月前出现右侧眼球活动障碍,向右侧注视困难。该患者曾到多家医院就诊,经多项检查,均没有确切的诊断,只予止痛治疗,但病情返复。后来,经多方打听后,转到了我院。
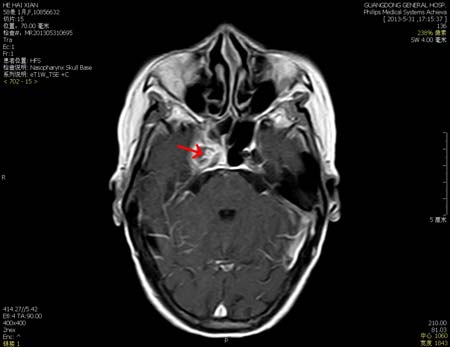
患者入院后,经过鼻咽和颅底增强MR检查,结果显示:右侧颅底海绵窦岩尖存在异常信号影,提示该区域有病变,邱主任初步确定为慢性炎症性病变,右侧蝶窦和乳突有炎性病灶。经科组讨论,决定为该患者施行内窥镜下鼻颅底手术,主刀是邱前辉主任。手术经右侧鼻腔进路,开放后组筛窦及蝶窦,发现蝶窦内较多褐色的真菌团,蝶窦腔粘膜肿胀,质地脆,证实了邱主任术前的诊断。炎性坏死组织已侵蚀右侧颈内动脉骨管,引致右侧颈内动脉蝶窦段骨质缺损、动脉裸露于蝶窦腔,并且炎症还从颈内动脉后上进入海绵窦。
手术除清除蝶窦内病灶外,还绕至颈内动脉后上部进入海绵窦进行病灶清除,最后修复颈内动脉裸露区段壁。手术过程顺利,术后病理显示,右蝶窦,海绵窦粘膜慢性炎,属曲菌感染。术后第二天查房时,该患者告诉医生,虽然鼻腔仍有填塞物,但头痛症状已较术前减轻,不用终日抱着头蜷缩在病床上了。当拔除鼻腔填塞物后,患者顿时感觉轻松,说好久没有睡得这么香、吃得这么香了。患者出院时,耳鼻喉科医生叮嘱她需继续在当地医院接受静脉抗真菌药物治疗,疗程为半年。

箭头所示为右侧颅底病灶,累及右侧蝶窦、海绵窦,增强后有明显环形强化,右颈内动脉被包绕并狭窄
邱前辉主任介绍,真菌性鼻窦炎是一类较常见的特殊感染性疾病,多在机体长期使用抗生素、糖皮质激素、免疫抑制剂或接受放射治疗等情况下发生,也可在一些慢性消耗性疾病如糖尿病、烧伤致机体抵抗力下降时发生,多为非侵袭性,但也有少部分侵袭性病例。一旦病灶侵犯颅底后,可引起头痛等并发症,严重时可危及生命。该例患者术中确诊为侵袭性真菌性蝶窦炎,病变绕过右侧颈内动脉,进入海绵窦,侵害脑神经,从而引起剧烈头痛和一侧眼球活动障碍等并发症,如不及时治疗,一旦感染突破至颅内,则可能出现暴发性真菌性脑膜脑炎,该病的死亡率几乎高达100 %。邱主任说,海绵窦是脑内重要的一个充满血液的窦腔,壁薄,除有保障半个大脑血供的颈内动脉穿行其中之外,还有三条重要的脑神经(外展、动眼、滑车神经)穿行于海绵窦内。在该区域手术,是挑战医学的珠穆朗玛峰,而采用内镜微创手术,需要更高的技术和更大的勇气,目前国内尚未见内窥镜手术治疗海绵窦区域真菌侵犯的相关报道。
我院耳鼻喉科自1993年开展鼻内镜下检查及内镜辅助治疗技术,1996年中旬开始规范化的鼻内镜手术,经过不断的学习和探索,内窥镜手术水平得到大幅度提高,该例手术的成功,标志着我院耳鼻喉科内镜鼻颅底手术达到了国内领先水平。
文、图_耳鼻咽喉科