关注我们


近日,广东省人民医院器官移植科巫林伟主任成功为一位“镜面人”进行肝移植手术,给患者带来新生希望。这是我院肝移植团队的又一次新突破,彰显了团队的高水平。
完全性内脏反位是一种及其罕见的人体结构变异,数万人中才会出现一个完全性内脏反位患者,其心、肺、肝、脾、胃、肠等器官的位置呈180°反位,就如正常人照镜子一般,俗称“镜面人”。
48岁的钟先生(化名)便是一位“镜面人”,20年来饱受慢性乙肝、肝硬化病痛的折磨,并在去年年底的一次检查中被诊断为肝细胞癌。经过多方求医,钟先生得知肝移植是治疗肝硬化合并肝癌的有效方法,有望达到根治的效果。为了抓住这一根“救命稻草”,钟先生慕名来到我院器官移植科,巫林伟主任处完成移植术前评估,加入了等待肝源的队列。

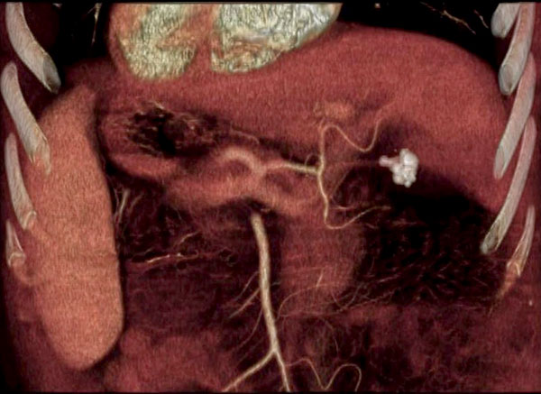
影像显示完全反位的内脏器官:心脏长在了右边,肝脏长在了左边
“钟先生的情况实属罕见,即使在国际上,类似的‘镜面人’肝移植案例报导也是屈指可数,可供借鉴的经验相当有限。”巫林伟主任表示,手术的难点在于解剖结构变异对手术方法的影响,手术过程的站位及惯性思维也会带来操作方面的困难,此外,还需要避免肝脏植入后与其他反位器官之间的压迫。此次手术无疑是一个巨大的挑战。
入院后,肝移植团队对钟先生的情况高度重视,在科内根据供受体的身材大小、腹腔脏器位置、腹腔容量以及肝脏尺寸等情况进行了多次的病例讨论,制定详尽的手术操作程序,并组织了多学科讨论,跟麻醉科梅莉主任团队协商患者术中麻醉的特点和难点,根据其内脏转位特点专门制定了术中呼吸支持、血流动力学监测及液体管理方案以及术后管理方案;同时,跟ICU-1区邓医宇主任团队协商患者术后的生命体征管理和液体管理。各方面达成广泛的共识。

11月6日,由巫林伟主任主刀,在夏武政及孙成军等医生的配合下,与麻醉及护理团队的通力合作下,顺利完成肝脏移植手术,整个过程完全按照术前精密的设想,一气呵成,术中出血仅400ml,供肝植入后未受压迫,检查肝脏血流通畅。
钟先生术后转入ICU监护治疗后第1天即拔除了气管插管,在第3天即转回普通病房继续治疗。在经历了严格的液体管理、抗感染治疗、抗排斥治疗、肝脏血流监测及营养支持治疗后,钟先生恢复良好,未出现感染、排斥及血管扭曲或狭窄等并发症,术后不足2周即可以下床正常活动。12月2日,钟先生顺利康复出院。

钟先生出院时与肝移植团队合影(右五为巫林伟主任)
延伸
内脏反位(situs inversus)是指心脏、肝脏、脾脏等器官的位置异常,通常表现为左右易位,可分为完全性内脏反位和部分性内脏反位。内脏反位是一种极其罕见的先天性畸形,有研究报导其发病率为1/10 000~1/50 000。由于内脏反位患者与正常人完全相反的内脏结构,加之其常伴有血管畸形,给手术操作带来了巨大的困难,具有高度的挑战性。在过去很长一段时间里,内脏反位被认为是肝移植手术的禁忌症。近年来,国内外已有少量完全性内脏转位患者成功的肝移植病例报道,逐渐将这一特殊的群体带出肝移植的“禁忌之地”。
文_夏武政、张品哲、赖冠志,图_夏武政