关注我们


2021年11月30至12月6日,广东省人民医院关节骨病及创伤科成功完成5例MAKO机器人辅助下的人工全膝关节置换手术,这是广东省首批机器人辅助下的全膝关节置换手术,也是我院骨科继2019年成功开展省内首例机器人辅助下全髋关节置换手术后的又一突破。这一技术上的突破,标志着髋膝关节置换手术的智能化、个体化、精准化水平更进一步。
关节置换手术是20世纪骨科领域最成功的手术之一。既往的髋膝关节置换手术严重依赖医生的经验,在人工关节安放的准确性、手术效果的一致性上存在着较多难题。进入21世纪,随着科技的发展,“智能化”、“数字化”逐渐成为骨科临床技术发展的关键词。在最新的机器人辅助系统的帮助下,医生可以克服传统关节置换手术的局限性,提高手术操作的安全性、稳定性、精准性,完美诠释了未来医疗中“精准医疗”和“个体化治疗”。

术前Mako智能骨科手术系统手术方案规划

郑秋坚主任(左图)、马元琛主任实施机器人辅助下的全膝关节置换手术
MAKO机器人辅助下的人工全膝关节置换手术前,科室团队将患者膝关节螺旋CT扫描数据进行三维重建,通过智能骨科手术系统对患者的膝关节骨骼形态、间隙平衡的评估,设计出最适合患者的手术方案。5台手术分别在郑秋坚主任和马元琛主任带领的机器人手术团队的合作下顺利完成,其中一位患者更是接受了难度更高的同期双侧机器人全膝关节置换手术。术后影像学结果显示,假体大小、位置、角度都精确地重现了术前的计划,达到了精确重建膝关节的目标。患者对手术效果十分满意。

机器人双膝手术患者术后第二天功能情况

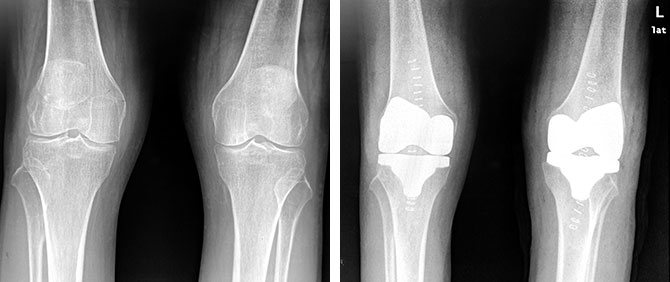
患者术前(左图)术后双膝关节X线对比
“对于接受关节置换的患者来说,手术的精准程度是影响患者人工关节假体使用寿命和术后效果的重要因素,机器人辅助下的关节置换手术可以将术中误差精准的控制在1 毫米级。”郑秋坚主任表示,“这能让患者以最小的手术风险,获得更好的疗效和更大的益处。”
智能化、数据化、个体化、精准化已经成为关节外科领域未来发展的必然趋势,而手术机器人也越来越多的进入到公众的视野当中,以前科幻电影的天马行空,现在不断的变成现实。广东省人民医院关节骨病及创伤科紧随时代的步伐,在广东省内率先进入手术机器人的人工智能时代,努力为患者提供更好的技术、更精准的治疗。
文_王帅、李曾