关注我们


中国女孩晓敏(化名),在欧洲留学,因为头晕头痛就医,口服止痛药1周后症状有缓解,但症状仍有反复,并出现恶心、呕吐,和家人商议后,决定回国求医。返回广州,检查发现脑室内巨大肿瘤,多方就诊后,听闻手术创伤大、风险高,晓敏和家人犹豫不决,但症状仍在逐渐加重,晓敏和家人下定决心,入住广东省人民医院神经外科。
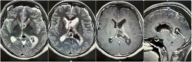
甘武副主任医师充分了解了晓敏的情况,仔细观察磁共振(MR)影像,发现肿瘤超过6cm,累及脑室多个区域,最深处已经到达后颅窝,脑干后方,肿瘤与丘脑边界不清,内部可以看到很多血管影,周围也有很多非常重要的深部静脉,涉及的都是深部中心部位的重要功能区,同时已经出现肿瘤梗阻导致的脑积水,结合肿瘤的信号特点,考虑是中枢神经细胞瘤。发现时往往已经比较大,而且合并有脑积水,正是这种肿瘤的特点。而且,手术出血多、手术创伤大、手术后出现出血、感染、偏瘫、语言和记忆功能障碍、脑积水甚至昏迷等情况并不少见。

甘武副主任医师详细向晓敏及家人讲解了目前的情况及治疗方式,手术风险确实不小,没办法完美切除肿瘤,但依然有希望和机会,在保护深部重要功能区和血管的前提下尽可能多切除肿瘤,并同时解除脑积水,明确病理诊断后为后续治疗作准备。晓敏和家人焦虑的心有所缓解,同意接受手术。
结合三年来近千例“不剃头发小切口”的个体化精准微创手术经验,甘武副主任医师、林晓风主任医师团队为晓敏量身定制能够安全有效完成手术方案。麻醉后,手术按计划有条不紊进行。经过4个多小时,出血不超过200ml,顺利完成手术,术后晓敏很快清醒返回病房,进入术后恢复阶段。

晓敏术后出现短暂肢体乏力、语言和记忆力障碍,但很快恢复,术后第3天已能够自主活动和进食,第4天已能完全自由活动和交流。复查后显示,手术区域有少许血水,肿瘤已基本消失,切除程度超95%,脑室明显缩小,脑积水解除。病理结果显示为,中枢神经细胞瘤,和预判一致。晓敏恢复很不错,顺利出院。

中枢神经细胞瘤,是胶质瘤中的一种,相对少见,以中青年为主,男女比例相当。因肿瘤位于脑室内,主要表现为头痛、恶心、呕吐等,早期症状一般不明显,部分可有轻微头痛、头晕目眩,随着肿瘤生长,症状加重。当肿瘤阻塞室间孔或中脑导水管时,会出现明显脑积水,表现为持续性头痛、恶心、呕吐,伴有视物不清,甚至失明,部分患者出现反应迟钝、偏瘫或感觉障碍,CT及MR可发现。
广东省人民医院神经外科是广东省建制最早的神经外科之一,也是国内成立神经外科专科较早的单位之一,科室拥有肿瘤及血管荧光显像显微镜、神经内镜、神经导航仪、O臂、超声吸引、术中B超、多普勒仪、神经电生理检测仪等一批现代先进手术设备及仪器,年手术量、每床位手术量、手术病种及疗效均居省内前列,对于复杂、疑难脑肿瘤手术经验丰富。
甘武副主任医师、林晓风主任医师团队,精于显微镜和神经内镜技术,注重微创理念,以娴熟显微技术为基础,发展了以“不剃头发小切口”为特色的个体化精准微创手术体系,特点包括:不剃头发、小切口、小骨瓣、无牵拉、不留管、免拆线等,出血少、创伤小、恢复快,对脑膜瘤、转移瘤、胶质瘤、垂体瘤、听神经瘤、脑积水、三叉神经痛、面肌痉挛等诊治经验丰富,娴熟运用显微镜、神经内镜及加速康复技术,术后住院时间短、费用低,近3年已微创治疗患者近千例。
甘武