关注我们


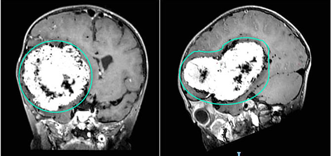
近日,我院收治了一名“发作性意识不清”只有两岁的小朋友。见到患儿时,表现为精神萎靡、行走不稳,并伴有左侧肢体活动减少,家长描述其近期反应明显迟钝,与同龄儿童相比行为异常,还反复呕吐。这些症状引起了医生的高度警惕,马入收治入院。经头部MR增强检查,发现右侧大脑半球存在一巨大颅内占位,肿瘤直径约10厘米,严重压迫周围正常脑组织,病情十分危急。为了挽救这位小患者的生命,广东省人民医院周东主任团队立即决定实施手术,以期彻底切除肿瘤。

术前影像资料可见右侧大脑半球巨大肿瘤占位
此类幼儿颅内肿瘤手术极具挑战性:一方面,患儿年龄小、体重轻,麻醉及手术耐受性差;另一方面,肿瘤体积巨大、血供异常丰富,术中极易发生大出血及血流动力学不稳定。
手术由神经外科周东团队实施。术中发现,肿瘤与重要功能区及大血管关系密切,进一步增加了全切难度,还出现一过性低血压,麻醉团队迎难而上,秉持“救治至上,确保万无一失”的精神,迅速调整用药并加强生命体征监测,为手术顺利实施提供了坚实保障。

肿瘤被完整切除,切除组织大小约13×7×4厘米
周东主任凭借多年的临床经验和高超的手术技艺,精准掌握手术节奏,确保了每一步操作的成功。在团队的通力合作下,肿瘤最终被完整切除,切除组织大小约13×7×4厘米。术后患儿恢复良好,意识状态逐渐改善,可自主进食,右侧肢体肌力逐步恢复,术后一周已能在搀扶下站立,未出现新发神经功能障碍。复查头部MR显示肿瘤全切,周围脑组织受压解除,脑中线结构复位。

术后影像资料显示肿瘤全切
我院小儿神经外科团队在低龄儿童复杂颅内病变手术方面积累了丰富经验,近年来已完成多例婴幼儿巨大颅内肿瘤切除术,建立了包括神经外科、麻醉科、儿科ICU、普儿科、康复科及病理科等在内的多学科协作模式,显著提高了手术成功率与患儿生存质量。此例手术的成功,不仅体现医疗团队在技术上精益求精,更在实际操作中展现出严谨的职业素养和强大的凝聚力。
周东主任提醒:婴幼儿如出现不明原因呕吐、精神差、行走不稳、头痛、头围异常增大、发育倒退等症状,家长需警惕颅内病变可能,应及时就医并进行头颅影像学检查。早期发现、早期治疗是改善预后的关键。
医生信息

神经外科