关注我们


金鼠辞旧岁,金牛报春时,96岁的王老先生顺利转出心脏重症监护室,“十几年来压在胸口的石头不见了,胸也不闷了,气也不喘了,终于能一觉睡到天亮了!”这是王老先生见到罗建方主任说的第一句话。
2021年2月1日,心内科罗建方、范瑞新团队有条不紊的进行着经导管主动脉瓣置换术(TAVR)。因术前精心准备,术中瓣膜对位、过弓、定位、释放,整个瓣膜置入过程一气呵成,仅半小时便成功为96岁高龄的患者植入了一枚人工生物瓣膜,这是目前为止,国内植入该款瓣膜年龄最大的一位患者。
96岁的王老先生在家突然觉得胸闷,气喘无法缓解,120马上送往我院。考虑急性冠脉综合征入住了CCU,医生检查后发现,原来导致王老先生胸闷气喘的不是冠心病,而是重度的主动脉瓣狭窄。既往王老先生合并高血压病史、皮肤癌病史、房颤史、前列腺肥大等多种疾病。心脏超声检查结果提示,患者主动脉瓣退行性病变,重度狭窄并轻度返流,主动脉瓣平均跨瓣压差83 mmHg,峰值跨瓣压差152 mmHg,主动脉瓣口峰值流速6.1 m/s。CT结果显示,患者胸、腹主动脉多发钙化,血管入路十分迂曲,升主动脉走行同样迂曲。主动脉瓣为Type 0型二叶式主动脉瓣,增厚并中度钙化,且升主动脉增宽,最宽约53 mm。主动脉瓣根部成角69°,横位心。
面对如此高龄,手术高危的王老先生,心内科马上召集相关科室进行多学科讨论,患者为超高龄主动脉瓣严重狭窄,临床上表现为ACS,心功酶升高,合并胸痛,心功能衰竭等表现,合并症多,外科手术风险极高,建议尽快行TAVR手术。随后心内科联合心外科、麻醉科、心脏彩超科、CCU,制定周密的手术方案,计划置入一枚球囊扩张瓣膜。
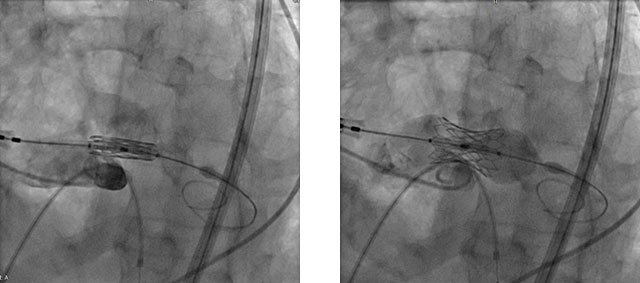
术中,送入球囊扩瓣膜系统,完成瓣膜对位,随后边调弯,边推送,顺利过弓。精准定位后,以180次/分快速起搏,并保证1:1完全夺获,使收缩压降到50 mmHg以下,迅速释放瓣膜。术后复查造影结果显示,无残余瓣周漏,猪尾导管测压显示术后主动脉瓣即刻跨瓣压差几乎为零,顺利结束手术。

球囊预扩张 瓣膜跨弓

成功跨瓣,精确定位 瓣膜释放
据罗建方教授介绍,TAVR是一项微创、不开胸的主动脉瓣置换手术。传统开胸换瓣手术需要患者全身麻醉,正中开胸,体外循环和心脏停跳等复杂的操作。TAVR手术可以在导管室操作,患者只需局部麻醉,在清醒的状态下,经腿血管,把瓣膜输送到心脏位置进行瓣膜置换。患者舒适度高,术后康复快,疗效安全稳定,术后第二天可以下地活动,术后4-7天可以出院。
TAVR技术自2002年在法国开展首例以来,经过20年的发展,全球累计完成50万例。在美国、德国等国家,2019年开始,TAVR技术在治疗主动脉瓣疾病方面已经超越了传统外科开胸手术。目前全球指南认为,只要是65岁以上的主动脉瓣膜疾病的患者,均可以考虑选择TAVR手术治疗,80岁以上患者更是推荐首选TAVR手术。我国从2010年开始引进TAVR技术。去年,在疫情影响下,全国年手术量仍达到3500台。我院是国内最早开展TAVR技术的中心之一,2016年至今累计手术量超450例,位列全国前4,广东省首位。同时也是广东唯一TAVR手术带教中心,累计帮扶全国近百家家医院开展该手术。
此例患者为96岁高龄的老年患者,也是我院开展TAVR治疗年龄最大的患者。由于患者年龄较高,因此血管入路十分迂曲,解剖结构异常复杂,从升主动脉开始,一直到主动脉弓,降主动脉,胸、腹主动脉严重迂曲;升主动脉扩张,主动脉根部成角达到69°,为严重横位心。考虑到患者复杂的解剖结构,和不太理想的血管入路,手术团队选择了新型瓣膜系统。手术过程中,考虑到患者瓣膜钙化严重,结合本中心丰富的临床经验,特选择小球囊在主动脉瓣开口进行预扩张,目的是在扩张主动脉瓣开口,为后续跨瓣操作提供良好通路。同时,避免因预扩操作导致主动脉瓣返流,造成血流动力学不稳定。在瓣膜过弓和跨瓣的操作中,瓣膜的释放位点一定要找准共平面,选择在稍高的位置进行释放,瓣膜支架膨胀后十分牢固,即刻血流状态也十分令人满意。
在精细的手术操作以外,对于高龄患者而言,术前、术中、术后的综合管理同样重要。术前,充分评估患者整体状态、心肺功能等,并将其调整至最佳状态;同时明确患者血管入路情况,钙化情况等,为后续手术策略的制定,提供参考。术中,手术团队要密切配合,及时调整麻醉深度,监视患者血流动力学状态,保证患者术中血流动力学的稳定。术后,根据患者具体情况,平衡缺血和出血风险,制定合理的抗凝、抗栓治疗策略;针对高龄患者,同时要注意患者的血压水平,避免发生颅内出血的情况。
TAVR技术在我院成功开展,为高龄、不能耐受外科手术的患者提供了一种新的选择。随着未来瓣膜设计和手术技术的进一步发展,将会有更多患者受益。
心内科 许捷