关注我们


3月初的一天,在金湾区某大学就读的大一学生小严 (化名)因为咳嗽和气促来到了省医珠海医院诊治。小严热爱运动,身体一直都不错,以为只是普通感冒咳嗽,没想到当天夜里就被宣告病危: 气道出现大量粉红色泡沫痰,ct提示双肺严重感染, 心肺功能急剧下降,多器官功能出现障碍, 无创呼吸机已无法维持呼吸,需要气管插管机械通气……
这来势汹汹的病情是怎么回事,会是新冠肺炎吗?我院严阵以待,按照防疫安全流程,迅速为小严进行了核酸检测及流行病学调查,不是新冠肺炎!
经过胸部CT和心脏超声检查,在多学科专家会诊中,病因很快便精准地找到了。肺部感染和急性心衰,竟然都是这个隐蔽的“杀手”引起的!这种病凶险又隐匿,尤其青睐年轻人。
发病急,病情重,与死神擦肩
3月7日傍晚,在一天前出现咳嗽、心悸、呼吸急促、胸闷不能平卧等症状的小严,在校医的建议下来到我院就医。随后,小严的气促症状逐渐加重,查体可听到双肺湿啰音,有肺部炎症及心衰的可能,马上被收入了急诊重症监护室(EICU)进一步治疗。

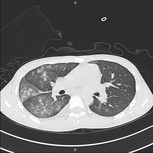
(胸部CT显示双肺见大面积的云雾状密度增高影,考虑双侧肺水肿。)
考虑到小严病情较重,家人不在珠海,老师也无法及时赶到医院,我院马上为其开通了先救命后交费的绿色通道,并迅速安排了会诊。
当晚12点半左右,小严的肺功能急转直下,需要靠无创呼吸机辅助通气。翌日清晨,呼吸不好了,无创通气已无法维持,需要气管插管机械通气才行!心功能也急剧下降:心衰指标BNP超过1000pg/mL(正常应<100pg/mL),急性左心衰!呼吸机辅助通气后,血压下降至86/54mmHg,需要去甲肾上腺素升压。
短时间内出现多器官功能障碍,除了心肺功能的急剧下降,还出现了肾功能障碍的症状。是什么病如此凶猛?
床旁心脏彩超给了医生们答案:是“感染性心内膜炎”的超声改变,二尖瓣上赘生物(最大尺寸为18*8mm),前叶断裂并脱垂,重度返流,轻度三尖瓣返流,中度肺高压。经过心血管科专家会诊,小严被确诊为急性感染性心内膜炎合并急性左心衰、肺部感染。
感染性心内膜炎是死亡率非常高的疾病,它的基本病理变化为在心瓣膜表面附着由血小板、纤维蛋白、红细胞、白细胞和感染病原体沉着而组成的赘生物。赘生物被纤维组织包绕,发生机化、玻璃样变或钙化,最后被内皮上皮化。

感染性心内膜炎的赘生物大而脆,容易碎落成为感染栓子,随大循环血流播散到身体各部产生栓塞,引起相应脏器的梗塞或脓肿,后果不堪设想。
快速反应,微创手术,把细菌的“窝”端了
小严的生命又重又急, 危在旦夕!心脏瓣膜上的感染病灶一旦脱落,就很容易到颅内或者肺部,形成颅内严重感染或脑血管栓塞。而且他的心肺功能直线下降,快维持不住了,可谓“一只脚踏进了鬼门关”。
幸好我院心脏手术团队快速反应,请心外科专家会诊评估有手术指征后,马上完善术前准备将小严送进了手术室,手术准备距离确诊感染仅仅2个小时。
此次急诊行腔镜下心内膜赘生物去除、二尖瓣机械瓣置换术(微创)由心脏团队谢斌主任和曾庆诗主任强强联手,但小严的病情仍让经验丰富的手术团队捏了一把汗。

术中发现,小严的病情比预期更严重些:麻醉监测后,小严已经出现重度肺高压;可视双腔气管插管后,右主支气管有大量泡沫痰涌出,肺水肿非常严重,给整个手术带来极大的难题:如果小严肺功能无法维持,很有可能要使用昂贵的体外膜肺氧合(ECMO)。
术中可见,小严的心脏瓣膜、腱索已经被大量细菌、赘生物侵蚀。而且,患者术中无尿,肾功能可能已被严重损伤。如果术后还是无尿,患者或将需要暂时透析或永久透析,生活质量将大大下降。
此时,手术室内的所有人只有一个,不,两个目标:不仅要让小严安全度过心脏手术,还要全力保住他的肺功能和肾功能!
大家齐心协力下,谢斌主任率领手术团队通过精密的胸腔镜操作,为小严换好了瓣膜,修补好了阀门,手术创口仅仅5厘米。
曾庆诗主任率领麻醉团队运用先进娴熟的麻醉管理,在体外循环期间,通过超滤、使用激素减少肺部炎症渗出、使用抗胆碱能药物干燥气道等措施,成功挽救了患者的肺功能;通过维持较高的灌注压,保证肾灌注,同时使用利尿剂,让小严心脏复跳后,肾功能开始恢复,尿量也慢慢增加。
与死神擦肩而过的小严,被心脏手术团队拉回来了!

(小严术后转到复苏室,李春雷副院长、医务部于佳雪主任、曾庆诗主任前往探访)

(院方向小严父亲和哥哥详细沟通诊疗情况)

(小严术后恢复向好,党委副书记郑卫平代表院领导到病房探望)
隐蔽的“杀手”:感染性心内膜炎
感染性心内膜炎凶险、隐匿,很容易被误诊。在有心脏病史的人群中发病较高,但近年来临床上发现,原来没有心脏病变者患病的几率也呈增长趋势。不少病人误诊后因心衰出现而丧失手术时间,还有部分病人手术后容易复发,再次危及生命。
我院专家提醒,当出现不明原因持续高热时,要警惕感染性心内膜炎的可能,及时到医院就诊。早期足量抗生素治疗和在适当时机进行手术治疗是感染性心内膜炎得到根治的关键。
专家简介
谢斌 广东省心研所心外科主任医师,从事心外科临床医疗工作近30年,曾赴印度、美国Mayo Clinic、法国、德国、荷兰和比利时多家心血管中心学习微创心血管手术。擅长梗阻性心肌病和肺动脉血栓的外科治疗、微创小切口心脏手术,每年行心脏外科微创手术300余例,拥有专利20余项,独创全胸腔镜双孔法和单孔法行心脏手术,手术范围除了大血管以外覆盖所有瓣膜手术、先心病、冠心病,现任微创胸心外科国际组织会员。
曾庆诗 广东省人民医院珠海医院麻醉科主任、医学硕士、主任医师、硕士生导师、中山大学附属第三医院客座教授、广东省医师协会麻醉分会常委、珠海市医学会麻醉分会副主任委员。 近年来每年完成心血管外科手术麻醉400余例,包括危重症和特殊心血管手术的麻醉,如危重冠状动脉旁路移植术、非体外循环冠状动脉旁路移植术、再次心脏手术、大血管手术等。自2008年开展微创心脏手术以来,至2017年已完成约1500例微创胸腔镜心脏手术的麻醉,其中腔镜下心脏不停跳进行二尖瓣、三尖瓣置换或整形100余例,双侧颈内静脉引流上腔的麻醉管理在国内居领先水平。
相关链接:
这种病死亡率高达70%!患病海归博士却在金湾幸运“捡回”一命
撰稿: 曹惠仪