关注我们


颈动脉体瘤也称副神经节瘤,为化学感受器瘤,肿瘤位于颈动脉分叉处,血供极其丰富,术中出血多,而且肿瘤容易侵犯血管壁,如果肿瘤完全包绕颈动脉,不得不行血管重建,因此,其外科手术治疗是血管外科最具挑战性的手术之一。临床多根据颈动脉体瘤瘤体大小及血管壁浸润程度进行Shambin分型:ShambinⅠ型为局限型,瘤体与颈动脉分叉粘连轻;Shambin Ⅱ型为部分包绕型,瘤体体积较大,颈内、颈外动脉被瘤体部分包绕;Shambin Ⅲ型为完全包绕型,瘤体体积巨大,颈内、颈外动脉被瘤体完全包绕。
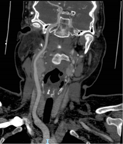
血管外科近期收治一37岁女性患者,发现右颈部肿物1年余,我院颈部CTA检查提示:右颈动脉体瘤,大小约4×3×3cm,瘤体完全包裹颈内、颈外动脉。

术前CTA
该患者属于Shambin分型 Ⅲ型,术前头颈部CTA可见瘤体已完全包裹患侧颈内、颈外动脉,评估肿瘤侵犯颈内动脉可能性大,需行血管重建,而大隐静脉的长期通畅性最好。术前,血管外科王劲松团队进行了周密的评估和设计,先行颈动脉体瘤供瘤血管介入栓塞术,减少术中出血风险。24小时后再行颈动脉体瘤切除。术中探查证实肿瘤完全包裹颈内、外动脉,无法将颈内动脉从肿瘤中分出。手术团队分3步实施手术:先行血管转流,临时保障颈内动脉血流;然后完整切除颈动脉体瘤及包裹的血管;再取患者自体大隐静脉重建颈内动脉。

颈动脉体瘤栓塞(A:栓塞术前;B:栓塞术后)
术后患者无神经功能障碍表现,颈内动脉供血好。血管外科对复杂颈动脉体瘤的成功切除,标志我院对颈动脉体瘤的治疗处于该领域领先地位。
连继洪